
Las palabras cáncer tienen un profundo efecto en los pacientes, y el miedo a la enfermedad puede hacer que algunos pacientes reaccionen de forma exagerada y opten por una cirugía o radiación innecesarias. El diagnóstico a veces comienza con un análisis de sangre PSA, que busca niveles altos de una proteína que puede significar cáncer, pero que también puede ser causado por problemas de próstata menos graves o incluso por ejercicio vigoroso.
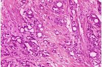
Cuando un paciente tiene un resultado de prueba sospechoso, el médico puede recomendar una biopsia, de la glándula prostática. A continuación, un patólogo observa bajo un microscopio y califica las muestras para ver qué tan anormales se ven las células.
A menudo, los médicos ofrecemos a los pacientes con la puntuación más baja, Gleason 6, evitar la cirugía y la radiación y mantener una vigilancia activa, que implica una estrecha vigilancia pero no un tratamiento inmediato.
Anteriormente se han producido cambios de nombre en cánceres de vejiga, cuello uterino y tiroides de bajo riesgo. En el cáncer de mama , hay un debate en curso sobre la eliminación del "carcinoma" del CDIS o carcinoma ductal in situ.
En el cáncer de próstata, el sistema de clasificación de Gleason de la década de 1960 ha evolucionado, por lo que 6 se convirtió en la puntuación más baja. Los pacientes pueden suponer que es una puntuación media en una escala del 1 al 10. De hecho, es la más baja en una escala del 6 al 10.
Los pacientes que son clasificados con la puntuación baja en realidad no presentan un cáncer activo de prostata por lo tanto se le debe dar otra denominación las propuestas incluyen IDLE para lesiones indolentes de origen epitelial o INERRT para neoplasias indolentes que rara vez requieren tratamiento lo importante es no llamarlo cáncer.
Llamarlo de otra manera ayudaría a los pacientes a tomar decisiones informadas y comprender el riesgo. Esta propuesta fue elevada a las sociedades medicas de todo el mundo para que posterior a un debate sea considerada como posible o en su defecto rechazarla por completo.
