Antibiótico que decolora los dientes
La Minociclina es un antibiótico que pertenece al grupo de las Tetraciclinas, éstas se utilizan generalmente para tratar infecciones producidas por bacterias. Actúan inhibiendo el crecimiento de las bacterias e interfieren en la producción de proteínas que las bacterias necesitan para multiplicarse y dividirse, impidiendo así que éstas crezcan y que la infección se extienda.
La Minociclina se utiliza para tratar infecciones en diversas partes del cuerpo causadas por bacterias sensibles a este antibiótico.

Es usada para el tratamiento de bronquitis, brucelosis, conjuntivitis, enterocolitis, faringitis, granuloma inguinal, infecciones abdominales, biliares, cutáneas y de tejidos blandos, infecciones genitourinarias, linfogranuloma venéreo, otitis media aguda, neumonía, psitacosis, sinusitis, sífilis, tracoma, tularemia, uretritis, infecciones rectales, micobacteriosis atípicas y nocardiosis.
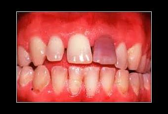
Según estudios, aproximadamente la mayoría de quienes han usado por mucho tiempo Minociclina desarrollan decoloración dental. Esa decoloración no daña los dientes, los huesos o las encías.
La dosis adecuada de Minociclina puede ser diferente para cada paciente y la duración del tratamiento depende de la patología a tratar.
La Minociclina pasa a la leche materna y puede producir decoloración en los dientes, retraso en su crecimiento, como así también en los huesos, aumento de la sensibilidad a la luz solar y aumento de la probabilidad de contraer infecciones por hongos en la boca o en la vagina en el lactante. Se recomienda consultar al médico sobre la conveniencia de recibir este medicamento durante la lactancia.
Los periodoncistas han sabido durante algún tiempo que las drogas médicas pueden afectar la salud oral de una persona, y esto es un recordatorio para que los pacientes informen a sus profesionales dentales de todos los medicamentos que están tomando, para saber cómo actuar en relación al cuidado bucal.
