Presentación clínica
La presentación clásica consiste en dolor periumbilical (referido) que en un día o más tarde se localiza en el punto McBurney con fiebre, náuseas y vómitos asociados 2 . Esta progresión solo se observa en una minoría de casos y es inútil en los niños que a menudo presentan signos y síntomas vagos e inespecíficos. También se basa en que el apéndice esté en una posición “normal”, lo que no es el caso en un número significativo de casos.
detrás del ciego (retrocecal ascendente): 65%inferior al ciego (subcecal): 31%
detrás del ciego (retrocecal transversal): 2%
anterior al íleon (preileal paracecal ascendente): 1%
posterior al íleon (retroileal paracecal ascendente): 0,5%
Los signos y síntomas generales incluyen 1,2 :
- fiebre
- dolor y sensibilidad localizados
- dolor en el cuadrante inferior derecho sobre el apéndice (es decir, signo de McBurney )
- dolor pélvico, diarrea y tenesmo (apéndice pélvico)
- dolor en el flanco (apéndice retrocecal)
- dolor en la ingle: apéndice dentro de una hernia inguinal (hernia Amyand ) o una hernia femoral (hernia de De Garengeot )
- dolor en el cuadrante superior derecho (apendicitis subhepática) 22
- leucocitosis
- náuseas y vómitos
- ubicación atípica:
- dentro de la pelvis (30%)
- extraperitoneal (5%)
fosa ilíaca izquierda (rara), que se encuentra en pacientes con un apéndice largo, malrotación intestinal, situs inversus y aquellos con un ciego móvil
La puntuación de Alvarado es una puntuación clínica que puede ser útil para estratificar el riesgo de los pacientes. En los niños, los médicos a veces utilizan otras puntuaciones como PAS o pARC 3 para el mismo propósito.
HALLAZGOS TOMOGRAFICOS DE APENDICITIS
La Tomografía es muy sensible (94-98%) y específica (hasta 97%) para el diagnóstico de apendicitis aguda y permite diagnosticar también causas alternativas de dolor abdominal. La necesidad de contraste (intravenoso, oral o ambos) es discutible y varía de una institución a otra. No se ha demostrado que el contraste oral aumente la sensibilidad de CT 12 .
Hallazgos de la Tomografía incluyen 1,2,4 :
- Dilatación apendicular (> 6 mm de diámetro).
- engrosamiento de la pared (> 3 mm) y realce.
- engrosamiento del ápex del ciego: Muestra de la barra cecal , signo de punta de flecha.
- inflamación periapendicular
- Estriación de la de grasa mesenterica.
- engrosamiento de la fascia lateroconal o mesoapéndice
- líquido extraluminal
- flemón (masa inflamatoria)
- absceso
- No realce de la pared focal que representa necrosis (apendicitis gangrenosa) y un precursor de la perforación.
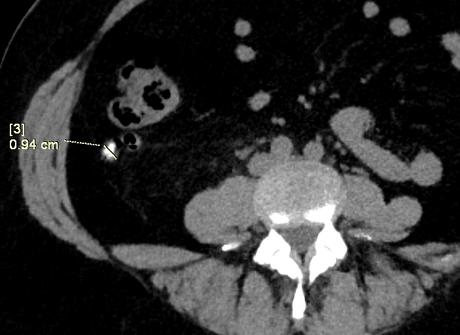
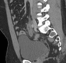
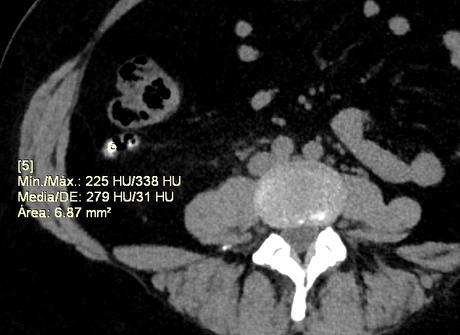
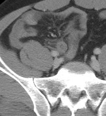
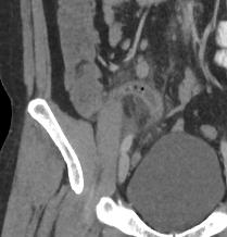
Se realiza búsqueda intencionada de la región de fosa iliaca derecha, apreciando una imagen tubular, en fondo de saco de ciego y presenta estriación de la grasa periapendicular la cual mide 10 mm en sentido anteroposterior, con presencia de un apendiculito en su interior de 5 mm, con densidad de 279 UH.
Los signos menos específicos pueden estar asociados con la apendicitis:
apendicolito
agrandamiento nodal reactivo periapendicular
HALLAZGOS EN RELACION A PROCESO APENDICULAR AGUDO, CON APENDICOLITO EN SU INTERIOR, SIN EVIDENCIA DE LIQUIDO LIBRE..
REPORTE DE TOMOGRAFIA
TECNICA.
Se realiza volumen abdomen y pelvis en fase simple, desde los opérculos torácicos hasta la sínfisis del pubis, con cortes axiales con reconstrucciones coronales y sagitales observando los siguientes hallazgos:
No contamos con antecedentes clínicos ni quirúrgicos del paciente.
HALLAZGOS ESPECIFICOS
En lo valorable de las bases pulmonares se aprecia mínimo cambios fibrocicatriciales
Hígado: se muestra de forma habitual, es de bordes regulares y bien definidos, con esteatosis hepatica, la via biliar intra y extra hepatica se observa sin dilataciones.
Se aprecia hernia hiatal tipo I.
El páncreas en situación, forma y tamaño normal, sus bordes son regulares y bien definidos, con densidad homogénea sin reforzamientos anómalos.
El bazo: en situación forma y tamaño normal, sus bordes son lisos y bien definidos, de densidad homogénea sin aparentes lesiones, con presencia de bazo accesorio en su porción antero superior de 11 mm.
Glándulas suprarrenales: se muestran en situación habitual, de forma y tamaño conservado sin lesiones aparentes.
Ambos riñones: se muestran en situación habitual, de morfología conservada, de bordes lobulados y bien definidos, riñón izquierdo con adecuada relación cortico-medular. Seno renal sin evidencia de litos o ectasias.
En retroperitoneo se observan trayectos vasculares de calibre y trayectoria conservada sin presencia de adenopatías.
Hueco pélvico sin evidencia de líquido libre.
Se realiza búsqueda intencionada de la región de fosa iliaca derecha, apreciando una imagen tubular, en fondo de saco de ciego y presenta estriación de la grasa periapendicular la cual mide 10 mm en sentido anteroposterior, con presencia de un apendiculito en su interior de 5 mm, con densidad de 279 UH.
No contamos con estudios previos para comparar.
IMPRESIÓN DIAGNOSTICA:
- HALLAZGOS EN RELACION A PROCESO APENDICULAR AGUDO, CON APENDICOLITO EN SU INTERIOR, SIN EVIDENCIA DE LIQUIDO LIBRE..
- ESTEATOSIS HEPATICA.
- HERNIA HIATAL GRADO I.
SE SUGIERE CORRELACIONAR CON ESTUDIOS PREVIOS Y LABORATORIOS
Referencias
- 1. Weissleder R, Wittenberg J, Harisinghani MG y col. Primer de diagnóstico por imagen. Mosby Inc. (2007) ISBN: 0323040683. Léalo en Google Books – Encuéntrelo en Amazon
- 2. Callahan MJ, Rodríguez DP, Taylor GA. TC de apendicitis en niños. Radiología. 2002; 224 (2): 325-32. doi: 10.1148 / radiol.2242010998 – Cita en Pubmed

La entrada apendicitis por tomografía apareció primero en El Blog de Godie.
