Cada año, 1 en cada 3,000 varones serán diagnosticados con Distrofia Muscular Duchenne (DMD). 1 en 6.000 varones, 0.02% aproximadamente de las personas sufren de la enfermedad que está relacionada con una anomalía cromosómica X

Aumento de la calidad de vida de los niños con distrofia muscular de Duchenne (DMD)
¿Qué es la Distrofia Muscular de Duchenne?
La distrofia muscular de Duchenne afecta principalmente a los varones. Distrofia muscular de Duchenne sólo afecta a los hombres, pero las mujeres pueden ser un portador genético de la enfermedad, aunque también hay casos causados por la transmisión espontánea de la línea germinal.
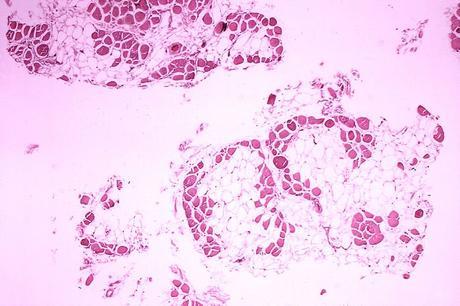
Distrofia muscular de Duchenne es una enfermedad muscular degenerativa hereditaria que progresa rápidamente en comparación con otras enfermedades musculares. La enfermedad se llama así por Guillaume Benjamin Duchenne, un neurólogo francés que lo descubrió en 1861. DMD es causada por una mutación en el gen de la distrofina que es responsable de la conexión de la fibra muscular a la matriz celular a través de un complejo específico de proteínas. La ausencia de distrofina evita que el exceso de calcio se absorba adecuadamente en la membrana celular, lo que causa daño, atrofia y necrosis del tejido muscular.
Signos y síntomas de DMD
Hay signos y síntomas que pueden poner de relieve a un padre que su hijo podría tener DMD. Los principales síntomas son debilidad muscular, pérdida de músculo particularmente dentro de la pelvis y los terneros, que también puede ocurrir en los brazos, piernas, cuello y a veces en las partes inferiores del cuerpo. La mayoría de los niños experimentarán síntomas que ocurren antes de la edad de 6 años y a veces en la infancia temprana. Otros síntomas físicos de DMD incluyen los siguientes:
ME GUSTA LO QUE VEO
- Caídas frecuentes
- Caminar, pisar o correr torpemente
- Fatiga
- Cambios en la postura general, el andar de caminar, caminar y correr
- Disminución del desarrollo de habilidades motoras (saltos, saltos, correr, etc.)
- Deformación de la fibra muscular
- Aumento de los problemas de caminar a medida que el niño envejece
- Deformidades esqueléticas
- Ampliación de la lengua y de los terneros
- Aumento de las dificultades de aprendizaje
- Por lo general, el niño no puede caminar a la edad de 12 años
- Deformidades esqueléticas (escoliosis, lordosis, etc.)
Cómo mejorar la calidad de vida en un niño con DMD
Con los recientes estudios médicos y ensayos realizados sobre la DMD, el tratamiento sigue mejorando, lo que resulta directamente en mejorar la vida de un niño que sufre de la enfermedad. Aunque no hay tratamiento conocido para la enfermedad, hay cosas que se pueden hacer para mejorar e incrementar la calidad de vida de alguien que lucha contra la DMD. Estudios de investigación de células madre están mostrando una gran promesa y puede ser capaz de reemplazar algunos de los tejidos musculares dañados, lo que controlará el inicio de los síntomas y maximizar la calidad de un individuo de la salud y la vida.
Otros medicamentos beneficiosos para la DMD son los corticosteroides que pueden aumentar la energía y aliviar la gravedad de ciertos síntomas de la enfermedad. Los agonistas beta2 también muestran una gran promesa para aumentar la fuerza muscular, pero no modifican o retardan la progresión de la DMD. La actividad física leve, la terapia física, los aparatos ortopédicos y el apoyo respiratorio también pueden ayudar mucho a mejorar el bienestar y el resultado de una persona con DMD.
Semana de Concientización: Duchenne MD Awareness Week Worldwide, del 14 al 20 de febrero.
Cada año entre el 14 y el 20 de febrero, la organización sin fines de lucro de Parent Project Muscular Dystrophy observa una campaña semanal de concientización sobre DMD en todo el mundo, la cual está diseñada para educar a la gente sobre la enfermedad. Es la esperanza de la organización que a través de la educación pública y los materiales de información, las familias con hijos que sufren DMD se reunirán y alentarán a los responsables políticos a aumentar la conciencia de esta enfermedad devastadora y crear apoyo para y dentro de la comunidad.
Visión de conjunto
Mientras que la distrofia muscular de Duchenne es una de las formas más comunes de trastornos de la distrofia muscular, todavía se necesitan muchas investigaciones para formular una mejor comprensión de la enfermedad. DMD finalmente afecta a todos los músculos voluntarios del cuerpo, incluyendo el corazón y el sistema respiratorio, lo que significa que puede ser fatal. Mediante la mejora de la calidad de vida en un niño que sufre de DMD, un padre puede encontrar maneras de aliviar o retardar la progresión de la enfermedad. El diagnóstico rápido, la intervención médica temprana y el cuidado apropiado son de vital importancia para proporcionar la mejor calidad de vida posible para aquellos que padecen DMD.
Compartir Twittear +1 Compartir Pin Stumble
¿HAS VISTO ESTOS ARTÍCULOS?
¿HAS VISTO ESTOS ARTÍCULOS?
-
Cada año en el mundo, 1 de cada 3.000 varones será diagnosticado con distrofia muscular…
-
La distrofia muscular es un grupo raro de enfermedades musculares hereditarias en las que las…
-
Hay muchas teorías acerca de por qué se producen las enfermedades genéticas. Sabemos que tanto…
-
El término "distrofia muscular" (DM) se utiliza para referirse a un grupo de enfermedades genéticas…
-
Los dientes sanos son una parte importante y vital de la calidad general de un…
-
Jugar al tenis es uno de los tipos más comunes de actividades que pueden contribuir,…
