PA DE TORAX (TELE DE TORAX)
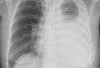
LA PROYECCION RADIOLOGICA OBTENIDA NOS MUESTRA LOS SIGUIENTES HALLAZGOS:
-Tejidos blandos, con densidad conservada, simétricos, sin evidencia de alteraciones.
-Estructuras óseas, sin evidencia de lesiones líticas, blásticas o perdida de la contigüidad.
-Vía aérea permeable, con desplazamiento de la tráquea hacia derecha.
-Mediastino, con desplazamiento hacia derecha
-Corazón, no se prueba de manera adecuada.
-Hilios pulmonares, derechos sin alteraciones, izquierdo no se puede valorar por opacidad en pulmón izquierdo.
-Trama bronco-vascular, en lo observado de trayecto y calibre adecuado.
-Campos pulmonares, derecho sin evidencia de opacidades, nódulos o masas. Pulmón izquierdo, con radioopacidad en segmentos inferiores, de un 70% aproximadamente, con efecto de masa desplazando mediastino hacia lado derecho.
-Receso costofrénico y cardiofrénico izquierdos ocupados. Resto de Recesos cardiofrénicos y costofrénico sin alteraciones.
OPINIÓN RADIOLÓGICA:
EN EL PRESENTE ESTUDIO RADIOGRÁFICO, CAVIDAD TORÁCICA IZQUIERDA, CON DERRAME PLEURAL 70% APROXIMADAMENTE VS ORIGEN A DETERMINAR.
LEER DESCRIPCIÓN.
CORRELACIONAR CON DATOS E HISTORIA CLINICA DEL PACIENTE
