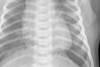
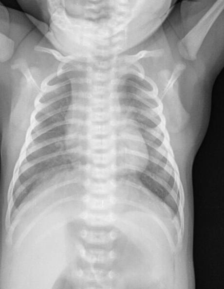
TÓRAX AP
EN LA PROYECCIÓN RADIOGRÁFICA OBTENIDA MUESTRA LOS SIGUIENTES HALLAZGOS:
Tejidos blandos simétricos, sin cambios en su densidad.
Silueta cardiomediastinica de forma habitual para la edad.
Botón aórtico, con diámetros adecuados, sin identificar calcificaciones.
Tráquea central, columna vertebral central.
Hilios pulmonares, de aspecto adecuado.
Campos pulmonares, con presencia de imágenes que simulan ser micronódulos.
Recesos cardiofrénicos y costo frénicos se observan libres.
Estructuras óseas, sin evidencia de lesiones líticas, blásticas o perdidas de la contigüidad. Fisis de crecimiento acorde a la edad.
IMPRESIÓN DIAGNOSTICA:
EN EL PRESENTE ESTUDIO RADIOGRÁFICO, CON IMÁGENES SUGERENTE DE BRONQUIOLITIS.
CORRELACIONAR CON DATOS CLÍNICOS Y ANTECEDENTES DE CONSIDERARSE NECESARIO POR MÉDICO TRATANTE, COMPLEMENTAR CON ESTUDIOS ADICIONALES O DE CONTROL, SEGÚN EVOLUCIÓN CLÍNICA DEL PACIENTE.
