No existe evidencia científica porque apenas hay abiertas líneas de investigación, pero en la práctica clínica se observa que una dieta con restricción de azúcares, junto al tratamiento convencional, contribuye a mejorar los síntomas de la candidiasis vaginal, una infección fúngica que puede ser recurrente
Y son estas pacientes con episodios recurrentes de candidiasis vaginal a las que algunos ginecólogos y nutricionistas recomiendan hacer dieta baja en azúcares, además de tratamientos antifúngico y medidas higiénicas, sobre todo en verano ya que las piscinas y playas propician infecciones.
“Aunque les advierto que no hay evidencia científica, les sugiero que si dejan de consumir algunos alimentos se pueden mejorar los síntomas. Se trata de evitar los alimentos ricos en azúcares y algunos derivados del trigo”, explica a EFEsalud el doctor Francisco Carmona, jefe del Servicio de Ginecología del Hospital Clínic de Barcelona.
También aconseja apartar momentáneamente los lácteos, por si afecta la lactosa, y las carnes, en especial las rojas, que pueden llevar componentes anabolizantes que afectan al sistema hormonal.
Este cambio de dieta debe estar asociado al tratamiento convencional con medicamentos antifúngicos y, en algunos casos, también hay quien prescribe probióticos orales, aunque tampoco hay estudios que hayan demostrado un beneficio directo.
“No se está recomendando nada que pueda hacer daño, no es perjudicial restringir puntualmente determinados alimentos. Hay indicios de que puede ser beneficioso”, señala el doctor Carmona, también profesor titular en la Facultad de Medicina de la Universidad de Barcelona.
De la misma opinión es Ana Molina, licenciada en Farmacia y especializada en nutrición humana y dietética al frente de AM Nutrición Integral, quien considera que una dieta baja en azúcares es perfectamente compatible con el tratamiento convencional para las candidiasis recurrentes.
“Lo he visto en mi consulta, en la primera semana se reduce la sintomatología de la candidiasis vaginal, sobre todo los picores”, asegura la experta a EFEsalud.
Cándida, un hongo más de nuestra microbiota
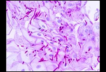
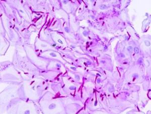
La cándida es un hongo que forma parte de la microbiota de nuestro organismo y está presente, en equilibrio, en la mucosa oral, vaginal y digestiva, en especial la cándida albicans, el tipo más común.
Hay factores que rompen ese equilibrio microbiótico y al aumentar la cantidad se produce una infección: la toma de antibióticos, el embarazo, enfermedades que afectan al sistema inmunológico, el estrés… son algunas de las causas.
Picor, flujo vaginal anormal o micción dolorosa son algunos de los síntomas que causa la infección por candidiasis vaginal.
“Lo más característico de la cándida es que fermenta los azúcares e hidratos de carbono, siendo éste su principal sustrato alimenticio para reproducirse…..Sin ser un sustituto del tratamiento, dejarlas sin sustrato, reducir los azucares, los hidratos de carbono y los fermentados será una buena forma de evitar su proliferación y prevenir futuras complicaciones”, asegura Ana Molina en su libro “Lo saludable de los alimentos” (editado por Cajamar).
Consejos
Por esa razón, la nutricionista recomienda evitar en la dieta diaria “los alimentos fermentables, porque los hongos fermentan en el azúcar y propicia que crezca la cándida” y recomienda tomar aquellos con poder diurético que ayuden a rebajar la infección. También advierte sobre los cereales con alto índice glucémico.
Estos son los consejos que Ana Molina incluye en “Lo saludable de los alimentos”:
Alimentos a eliminar:
- Azúcares: blanca, morena, miel, siropes, sacarina, malta y dextrosa
- Levaduras: pan, pastillas de caldo de verduras, soja desecada, todos los lácteos
- Fermentados: alcohol, yogur, miso, tempeh, vinagre, salsa de soja
- Fruta y zumos de fruta (sobre todo en la fase aguda, según mejoran los síntomas se podrán ir incluyendo aquellas con menor contenido en azúcares)
- Cacahuetes y pistachos
- Champiñones, setas, patatas, boniato y calabaza
- Té y café (incluido el descafeinado, pues preserva aproximadamente un 10 % de cafeína)
- Especias muy picantes.
Como pautas generales:
- Beber 2 litros de agua al día, e infusiones libremente, sobre todo de manzanilla
- Eliminar azúcar e ir introduciendo según vayan desapareciendo los síntomas
- Comer cinco veces al día para evitar subidas de glucosa en sangre. De estas cinco, al menos tres deberán llevar proteínas para regenerar la mucosa vaginal e intestinal.
- Tener caldos de verduras preparados y beberlos durante el día (es el mejor suplemento vitamínico): de cebolla, puerro, ajo, col, coliflor, brócoli, coles de Bruselas y nabos, por ejemplo.
- Aumentar el consumo de alcachofas, endivias, escarola, berros, espárragos, alfalfa, manzanilla, hinojo, comino, jengibre, albahaca, romero y piñones.
Publicado en Agencia EFE: Candidiasis: mejor evitar los azúcares
