RESUMEN CLÍNICO datos de envió
Masculino.
Edad: 20 años.
AHF: Madre DM 2.
APNP: Soltero, originario y residente de Cozumel, estudiante de licenciatura, habita en una casa con todos los servicios básicos, zoonosis negativa. IVSA: 15 años, NPS:1, heterosexual, 1 tatuaje (3 meses).
APP: Negados.
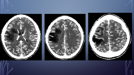
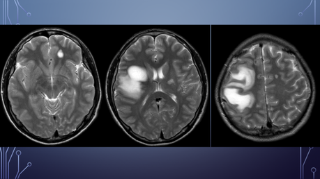
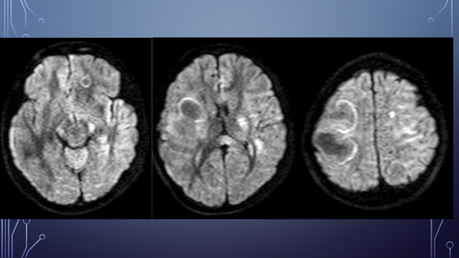
PA: Inicia hace 5 meses con amnesia, cefalea generalizada la cual empeora con el ejercicio, agregándose parálisis facial izquierda por lo que acude con neurólogo privado solicitando TC y posteriormente RM.








Download [19.65 MB]
Download [19.65 MB]

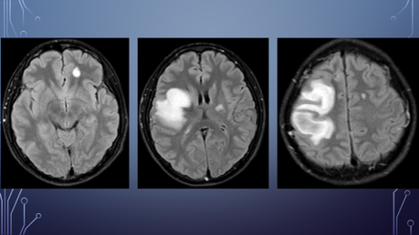
El paciente es diagnosticado con EM.
Inicia tratamiento con altas dosis de corticoides.
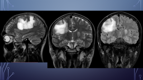
Deterioro neurológico: parálisis de miembro superior izquierdo y hemiparesia izquierda.
Ingresa al HGZ en Cancún, Q. Roo, con traslado a la UMAE Mérida
Interrogatorio indirecto (hermana) por el servicio de RM:
APNP: Abuso sexual a los 9 años, homosexual, IVSA: 14 años, NPS:6, toxicomanías (+): alcohol, tabaco, cocaína y marihuana desde los 15 años, convive con familiar (primo) VIH positivo desde hace un año.
