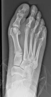
La solución es realizar osteotomías correctoras de la deformidad con lo que se estabiliza el pie y mejora el apoyo.
Creo que el resultado ha sido muy bueno, como se ve en las radiografías que muestro a continuación. Antes y después de la cirugía:




XXI Jornadas de Actualización en Lesiones de Rodilla. 23-24 Noviembre de 2017
Ponente Invitado en el XVI Simposio Internacional #Clínica #CEMTRO de Madrid
Editor de la Revista internacional de Traumatología: Orthopedics, Traumatology and Sports Medicine International Journal (OTSMIJ)
articulo "Management of syndesmotic injuries" de la EFORT Open Reviews