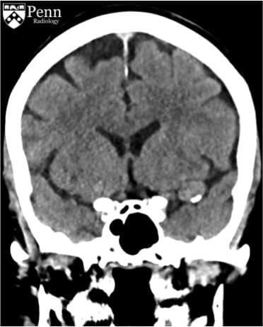
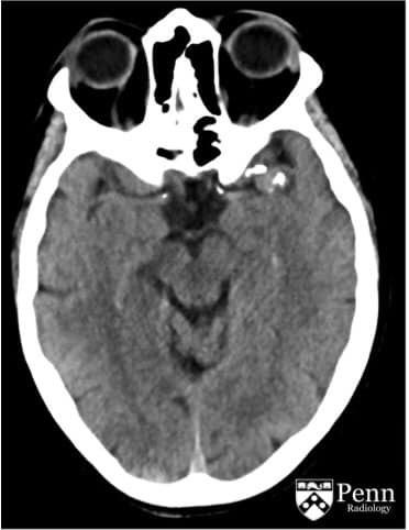
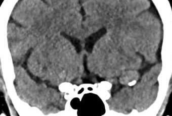
Paciente femenina de mediana edad que acude al servicio de urgencias por presentar convulsiones por primera vez, tras realización de CT de craneo se obtienen las siguientes imagenes:
La lesion evidenciable se encuentra:
a) extraxial
b) intraxial
Probable estirpe etiologica de la lesion:
a) glial
b) dural
c) vascular
d) ependimaria
Estudio subsecuente:
a) Angiotac cerebral
b) Doppler carotideo
c) RM craneo + Gadolineo
d) RM cerebral + secuencias TOF
Las areas hiperdensas sugieren?:
a) sangrado activo
b) sangrado antiguo
c) calcificaciones vasculares
d) fragmentos oseos


