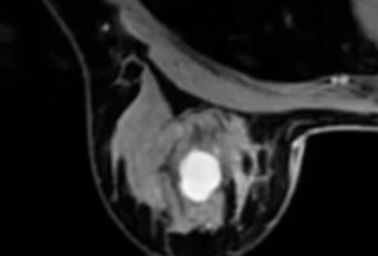
Caso de resonancia magnética de mama
lesion híper intensa en t1, con márgenes bilobulados, con bordes bien definidos, que tras contraste presenta un realce precoz intenso, con curva tipo 3 de lavado apartir del segundo minuto, el valor de ADC fue claramente superior de 1,60 x 10 mm/seg
cual es el diagnóstico??



