Muchos trastornos relacionados con la boca suelen cursar sin dar síntomas. Generalmente no nos ocupamos de la salud bucodental hasta que aparecen las molestias y los dolores. Una buena prevención puede evitar muchas patologías en este sentido.
En el interior de la boca permanecen microorganismos que la protegen de las infecciones. Cuando el equilibrio se altera y los tejidos envejecen o sufren deterioros, quedan más expuestos a las agresiones de bacterias y otras sustancias que son corrosivas para los dientes.
Es conveniente revisar frecuentemente los dientes para detectar a tiempo problemas posteriores.

esmalte dental, bruxismo, dientes, hilo dental, férula
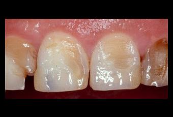
Problemas del esmalte dental
Cuando el esmalte se deteriora y avanza la agresión pueden presentarse algunos síntomas comunes:
- Dientes de color amarillento con aspecto frágil en los bordes.
- Dolor ocasional alcontacto con alimentos obebidas fríos o calientes, o con los dulces.
Causas posibles:
- Abrasión. El roce continuo debido a un cepillado agresivo altera y destruye el esmalte
- La presión al rechinar los dientes, como puede ser debido al bruxismo, desgasta la superficie y altera la calidad del esmalte dental.
- Sustancias como alimentos demasiado ácidos también pueden erosionarlo: bebidas energéticas, vinagres, zumos de frutas, vómitos frecuentes, blanqueantes, etc…
Prevenir
Usar dentífricos adecuados a los problemas de sensibiliad y utilizar cepillos suaves. Utilizar si es preciso el hilo dental y la paleta lingual. Utilizar una férula protectora en caso de bruxismo nocturno.
Enjuagues
Los enjuagues y colutorios son cómodos y pueden resultar muy prácticos, pero no conviene abusar de de estas soluciones, porque contienen altos índices de alcoholes que resecan la boca.
