
SINTOMAS NEUMONIA
Al respirar, llenamos de aire unos pequeños sacos, llamados alvéolos. La neumonía es una infección respiratoria aguda que provoca que estos alvéolos estén llenos de líquido, lo que limita que el cuerpo absorba el oxígeno y provoca dolor al respirar. Las neumonías pueden estar causadas por diferentes tipos de virus, bacterias y hongos, y se contagia por el contacto habitual con estos microorganismos, frecuentemente presentes en la garganta o la nariz. Al inhalar aire, estos virus y bacterias pueden pasar a los pulmones, provocando la neumonía. También se propaga por vía aérea, es decir, a través de la tos y los estornudos.
La neumonía puede afectar a cualquier grupo de población, aunque los más vulnerables a la enfermedad son los niños menores de dos años y los ancianos.
La neumonía viral es la que está causada por un virus, que entra en los pulmones provocando una infección que causa irritación e hinchazón. Los síntomas de este tipo de neumonía son la tos (con o sin mucosidad expectorada), fiebre, escalofríos, silbilancia (silbidos al respirar) y dificultad respiratoria al realizar cualquier esfuerzo físico. Tras la aparición de estos primeros síntomas, con frecuencia leves, el afectado puede sentir un exceso de sudoración, falta de apetito, fatiga y dolor de pecho al respirar o toser.
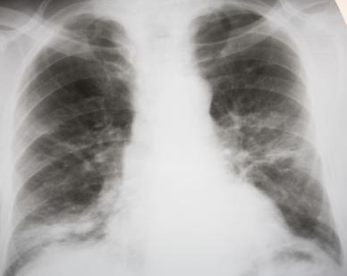
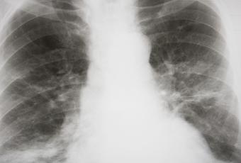
Ante estos síntomas, el médico determinará con radiografía que se trata de una neumonía y no de otra infección respiratoria, como una bronquitis. Los objetivos del tratamiento –los antibióticos no sirven para este tipo de neumonía– son mejorar la respiración con el uso de humidificadores y oxígeno, y prevenir la deshidratación. Por eso se recomienda ingerir abundantes líquidos, que ayudarán a expulsar la flema y las secreciones.
La neumonía bacteriana es la más común, sobre todo en niños, y suele estar causada por estreptococos. Los síntomas son similares a los de la neumonía viral: tos, fiebre, escalofríos, pérdida de apetito y respiración dificultosa. En lactantes, los síntomas más graves pueden ser hipotermia, convulsiones e incluso pérdida de consciencia, lo que requiere atención médica inmediata. Estas neumonías causadas por bacterias se tratan eficazmente con antibióticos.
