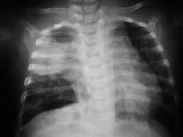
Complicaciones alveolares: atelectasia
La atelectasia es el colapso de los alvéolos (divertículos terminales del árbol bronquial). Puede aparece en zonas localizadas del pulmón o en toda su extensión. Las causas más frecuentes son la obstrucción de las vías aéreas y la ausencia de surfactante en los líquidos que tapizan los alvéolos.

Con respecto a la obstrucción de las vías aéreas, en general sucede que existe un bloqueo de muchos bronquios o de algún bronquio importante por un gran tapón mucoso o por algún objeto sólido, como un tumor. El aire que queda atrapado más allá del bloqueo se absorbe en un plazo de minutos a horas por la sangre que fluye por los capilares pulmonares. Si el tejido pulmonar es lo suficientemente flexible, esto dará lugar simplemente al colapso de los alvéolos. En caso que el tejido pulmonar sea rígido por tejido fibroso y no se pueda colapsar, la absorción del aire desde los alvéolos generará presiones negativas en el interior de los alvéolos, que arrastrará líquido desde los capilares pulmonares hacia estos, haciendo que los alvéolos se llenen completamente con líquido de edema (atelectasia masiva).
El efecto sobre la función pulmonar global que produce la atelectasia masiva de todo un pulmón es, principalmente, el descenso la saturación de oxígeno en sangre. El colapso pulmonar no solo ocluye los alvéolos, sino que casi siempre aumenta la resistencia al flujo sanguíneo a través de los vasos a medida que disminuye el volumen del pulmón. Además, esta hipoxia produce una vasoconstricción adicional.
