Al examen presentaba signos de daño neurálgico,aparentando un Accidente Vascular Encefálico.Aparentemente el cuadro habría sido generado por consumo de cocaína.
El paciente fue entubado y trasladado a Hospital
Hoy pudimos conocer por medio del Sofware Synapse,las placas de Rayos y scaner tomado al paciente que confirman el daño cerebral
Puedes ver las placas más abajo.

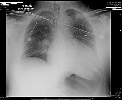
Se aprecia un aparente opacidad perihiliar ¿neumonia por aspiración?

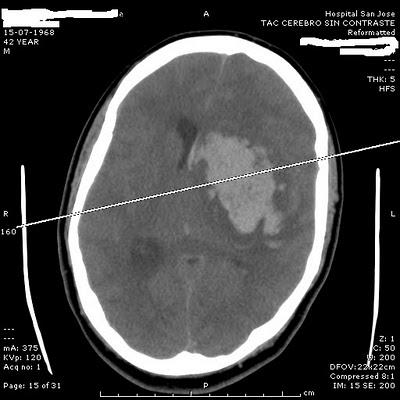
En el Scaner se aprecia extensa lesión hemorrágica a nivel cerebral
Grandes avances en el uso de la Tecnologías que nos permiten mejorar la calidad de nuestro Trabajo.
Gracias a Dr Zamorano por este ilustrativo caso
