RADIOGRAFIA AP Y LATERAL DE RODILLAS
LAS PROYECCIONES RADIOLÓGICAS MUESTRAN LOS SIGUIENTES HALLAZGOS:
Los tejidos blandos de ambas rodillas, sin evidencia de alteraciones.
Las estructuras óseas de ambas rodillas; fémur distal, peroné y tibia proximal y rotula con adecuada mineralización, sin evidencia de fractura.
Espacio articular femorotibial de ambas rodillas, con adecuada amplitud.
Espacio articular trocleo-rotuliano de ambas rodillas, con disminución de su amplitud.
Rotula derecha, con ángulo de Muñoz de -10.1°, índice de install y Salvatti de 0.99.
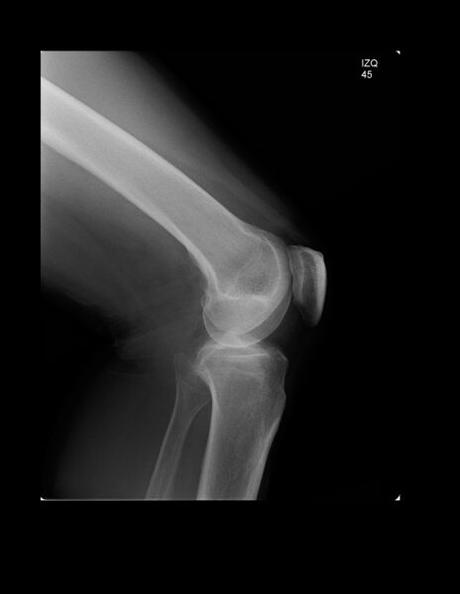
Rotula izquierda con ángulo de Muñoz de -9.6 °, índice de Insall-Salvati de 0.85.
OPINIÓN RADIOLÓGICA:
EN EL PRESENTE ESTUDIO RADIOGRÁFICO, AMBAS RÓTULAS, CON DESPLAZAMIENTO LATERAL, ADEMÁS ROTULA IZQUIERDA CON DESPLAZAMIENTO INFERIOR.
DISMINUCIÓN DE LA AMPLITUD DEL ESPACIO TRÓCLEO ROTULIANO DE AMBAS RODILLAS, SUGERENTE DE CONDROMALACIA PATELAR.
CORRELACIONAR CON DATOS E HISTORIA CLINICA DEL PACIENTE
La entrada CONDROMALACIA PATELAR apareció primero en El Blog de Godie.
