No cepillarse los dientes es un error por donde se mire, todos sabemos que no cepillarse correctamente y con la frecuencia debida puede acarrear serios problemas en los dientes.
La caries es uno de esos problemas, el sarro también, el mal aliento, son cosas que se nos vienen a la mente cuando pensamos en ¿Qué pasaría si no nos cepilláramos bien los dientes?
Eso es correcto, pero no es todo, las cosas van más allá, los riesgos son mayores, no solo para los dientes sino para el cuerpo en general ya que los alimentos entran por la boca evidentemente.
Pero al no tener una buena higiene es la puerta principal para el ingreso de bacterias, hongos y todo tipo de organismos que pueden causar enfermedades de todo tipo.
Nadie quiere eso, de ahí que desde niños se nos enseñe la importancia de cepillarse los dientes después de cada comida.
Pero existe esa curiosidad de saber ¿Qué pasaría?, pues bien, de eso hablaremos hoy, nada bueno puede salir de eso, lo podemos decir desde ya, pero siempre es bueno saber a qué nos atenemos si no tenemos una buena higiene dental.
Un año sin lavarse los dientes: ¿Cuáles son los daños?

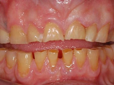
- La placa bacteriana empieza a formarse apenas con un día sin cepillarse los dientes, en un año esa placa es mucho más gruesa y el olor fétido es muy fuerte.
- Incluso antes del año la persona ya ha sufrido de gingivitis, lo cual con el pasar del tiempo puede provocar daños severos en las encías.
- La formación de caries es muy marcada, el esmalte pierde calcio, se debilita, sobre todo por el consumo de azúcar los daños se notarían en pocos meses, en un año la caries ya debe provocar infecciones e incluso pérdida de piezas dentales.
- En un año los dientes ya tienen agujeros, grietas, la placa no es el principal problema sino la inflamación de las encías que a su vez adoptan un color rojo muy oscuro.
- La pérdida de dientes es más frecuente en personas mayores de 50 años, los más jóvenes pueden resistir más tiempo, aunque siguen habiendo daños importantes.
Estas son las principales consecuencias de pasar un año sin cepillarse los dientes, sumándole el dolor casi insoportable que puede provocar una caries avanzada.
Otros daños y enfermedades que puede provocar no cepillarse los dientes

En este punto no hablaremos de tiempos, sino de problemas de salud que puede causar el no cepillarse los dientes más allá de si ha pasado un mes o 5 años.
Porque dicho sea de paso, hay casos de personas que en efecto, pasan todo ese tiempo sin cepillarse los dientes aunque suene difícil de creer.
Gingivitis
Lo mencionamos antes, pero hay que añadir algunas cosas, esta enfermedad es de las que probablemente sea una de las primeras en aparecer.
Es la inflamación de las encías y a simple vista se puede notar debido a la inflamación y enrojecimiento de dicha parte de la dentadura.
Se puede evitar mayores daños siempre que se trate a tiempo y adoptando una buena higiene oral.
Periodontitis
Es básicamente la infección de las encías, pero es un cuadro grave.
En esta enfermedad la infección ya ha alcanzando tejidos y hueso, lo peor que puede pasar es que se desprendan los dientes..
Cáncer de boca
Puede aparecer cáncer en diferentes partes de la boca, tanto en el exterior como en la parte interna.
El cáncer puede afectar la garganta, la lengua, los labios, el riesgo de padecer de este tipo de cáncer aumenta si la persona es fumadora, si bebe en exceso o si mastica tabaco.
Úlceras estomacales
Esto se debe a la formación de placa bacteriana.
Específicamente una bacteria es la que puede provocar úlceras en el estómago, se llama «pylori helicobacter«, también se transmite de forma oral, es decir a través del beso.
Absceso en el cerebro
Ocurre cuando la pus se acumula, las infecciones en los dientes que llegan a ser severas pueden provocar que la materia llegue al cerebro.
La infección al cerebro puede traer consecuencias muy graves, se sabe que la periodontitis es la enfermedad que puede causar esta complicación.
Lesiones en la mandíbula
La formación de caries y el no tratarla puede no solo provocar un dolor y daño permanente en las piezas dentales.
El no cepillarse los dientes puede a largo plazo provocar lesiones en la mandíbula, en tejidos, hueso, la articulación al punto que se ve afectado el habla y la masticación de los alimentos.
Cuidados e higiene bucal

De esto se ha hablado mucho y se seguirá hablando, no solo porque la salud dental es de vital importancia.
Por una cuestión estética muchas personas le dan un cuidado especial a sus dientes lo cual está bien, siempre que no se recurra a cirugías estéticas sin una real necesidad de hacerlo.
No hace falta ahondar mucho en este punto, todos sabemos que hay que cepillarse los dientes después de cada comida, hacerlo bien, usar hilo dental y visitar al odontólogo con regularidad.
Evitar productos procesados y especialmente azucarados, incluso las bebidas, gaseosas, refrescos, zumos con azúcar en exceso, el azúcar cuando se consume sin un control adecuado puede provocar daños en los dientes.
Aumenta el riesgo de tener caries, además de otros problemas a la salud.
Existen situaciones en las que el estrés puede provocar actos involuntarios en la persona, este estado emocional provoca mucha tensión.
El apretar los dientes constantemente puede provocar alteraciones en la masticación, igualmente en la mandíbula y esto hace que los dientes se desgasten, en este caso sería apropiado un tratamiento psicológico.
¿Se puede tener tratamiento dental a bajo costo?

Muchas personas prefieren dejar pasar el tiempo por una cuestión de economía, piensan que los tratamientos dentales son costosos y en parte es cierto.
Sobre todo los tratamientos en clínicas privadas, pero hay alternativas, la salud dental es muy importante y no se debe esperar a último momento para tomar acción.
Las facultades de medicina de universidades e institutos, suelen ofrecer tratamientos y consultas a precios muy económicos dado que sus estudiantes necesitan la experiencia para salir al mercado laboral.
No quiere decir que vayan a hacer un mal trabajo, están muy bien capacitados.
Además siempre tienen a dentistas expertos en constante asesoría para estos estudiantes a punto de terminar su carrera así que es una buena opción.
Dependiendo de donde vivas y las autoridades sanitarias, pueden haber campañas de salud dental, existen campañas para todo tipo de enfermedades, pero para tratamientos dentales también.
Es una buena opción para no gastar mucho dinero y darle atención a algo tan importante como es la salud dental a la vez que adoptamos una buena higiene oral.
