¿Por qué dejar que un juanete nos lleve por el camino de la amargura si podemos hacerle frente?. El uso de correctores o la cirugía son los métodos que más nos ayudan.
El hallux valgus es una deformidad de la parte delantera del pie, una subluxación de la articulación del primer metatarsiano (en lenguaje de la calle vendría a ser el dedo gordo del pie), que se desvía de su posición normal, lo cual es bastante común.
Un meta-análisis de 76 estudios que se realizó en 2009 en el se recogen los datos de cerca de 500.000 personas, mostró que el 23% de las personas de entre 18 y 65 años lo padecen, Y este porcentaje aumenta hasta el 35% cuando se considera la población mayor de 65 años.
En comparación con los hombres, las mujeres son las más afectadas por hallux valgus porque a menudo usamos zapatos estrechos con tacones altos, y los tejidos suelen ser blandos o demasiado flexibles.
Por qué aparecen los juanetes por compartircosasbuenas
Los juanetes provocan un dolor en la zona medial del pie, la planta del pie y los dedos pequeños. El tratamiento no quirúrgico puede aliviar este dolor pero no corregir la deformidad del dedo gordo del pie.
La cirugía está indicada cuando el dolor persiste. Si pasamos por el quirófano resolveremos el problema pero no se garantiza que no vuelva a ocurrir. Es decir, que en muchos casos este problema surge de nuevo con el tiempo.
Síntomas
- Dolor en toda la parte delantera del pie. No duele sólo el dedo del juanete sino que se extiende a los otros dedos del pie. Suele ser más doloroso cuando ejercemos presión en la zona, es decir, al andar, correr, etc.
- Mala alineación de las articulaciones. Esta desalineación puede dar lugar a una inflamación.
- Dolor con el uso de los zapatos.
Las causas de hallux valgus no siempre son fáciles de detectar aunque a menudo se atribuye a los zapatos que llevamos. Aunque el factor genético también es otra de las causas mal que nos pese…
No tiene porque afectar a ambos pies y aunque suela darse más en edades más avanzadas también puede afectar a personas de entre 18 y 65 años.
La desviación lateral del dedo gordo es claramente evidente cuando la persona está de pie y descalzo. Es

Es posible medir el ángulo entre el eje longitudinal del primer metatarsiano y la falange proximal del dedo gordo del pie. Aunque cada persona presenta un ángulo distinto se podría afirmar que un ángulo superior a 15° serían casos excepcionales. Lo normal es que no llegue hasta este ángulo y mucho menos que lo supere.
En la mayoría de los casos, aparte de este ángulo anómalo, se observa que el metatarsiano se hace más grande, aumenta la prominencia de la articulación.
Los remedios que se suelen adoptados para el tratamiento del hallux valgus se fabrican a partir de interventos quirúrgicos y del uso de métodos correctivos.

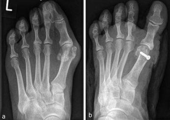
La cirugía de hallux valgus es lo único que ofrece resultados más fiables, aunque no siempre permanentes. El estudio realizado por el Dr. Nikolaus Wülker junto a su compañero de trabajo el Dr. Falk Mittag demuestra que en el caso de la intervención quirúrgica aproximadamente el 85% de los pacientes que fueron operados habían resuelto el problema y el 10% notó una mejora de la situación. También hay que decir que el 5% restante no tuvo ninguna mejora. Pero recordad que muchas veces vuelve a aparecer de nuevo con el tiempo.
Por otro lado están los correctores de hallux valgus que sirven para reducir o eliminar los síntomas de los juanetes, y también para evitar su formación, por eso suele recomendarse su uso tras una intervención quirúrgica (para que no vuelva a aparecer) o cuando ya existe el problema

en sí para corregir la deformidad cuando se lleva puesto.
Este dispositivo es capaz de corregir la posición del dedo gordo (eso sí, sólo mientras se use). Es decir, es capaz de:
- Reducir el dolor al caminar;
- Prevenir la inflamación que se dan en las articulaciones;
- Poder caminar correctamente.
En algunos casos el corrector usado constantemente también puede ser capaz de corregir el problema de raíz o disminuir el ángulo. Pero no hay estudios que lo confirmen ni es algo que ocurra siempre que se use de forma constante. Por tanto no se puede decir que sirva para eliminar el problema o reducir el juanete porque no pasa siempre. Aunque sí que sirven para convivir con el problema sin padecer los síntomas.
Para poder tener los efectos positivos terapéuticos de los correctores se debe llevar durante 6 o 10 horas al día. Los primeros resultados son visibles después de 10 o 14 días de uso.
Los correctores de hallux valgus se colocan por debajo del juanete y no tienen contraindicaciones.
¿Qué son los juanetes, cómo tratarlos y curarlos- por compartircosasbuenas
