Ya sabemos que hay huesos que nuestros perros no pueden ni deben comer, como los de pollo, conejo o vértebras de cordero porque se astillan y se les pueden clavar haciéndoles mucho daño, daños muy serios además. De hecho, algunos veterinarios desaconsejan dar huesos a los perros.
Pero nosotros que somos muy listos, pensamos que los huesos les vienen muy bien porque les fortalece los dientes o cosas asi y les solemos dar huesos grandes o huesos que no se astillan pensando que son seguros...La verdad es que no se deben dar ciertos huesos, hay que darlos según el tamaño del perro y tener en cuenta los huesos (por forma o constitución), ya que pueden astillarse o encajarse con más facilidad.
Os traigo desde la página que me encanta cotillear por mi formación sanitaria (www.diagnosticoveterinario.com), algo que me ha sorprendido: el hueso como cuerpo extraño en el perro.
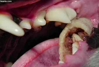
Aquí os dejo la foto de un perro de raza pequeña, con un hueso encajado en su muela!

Copio y pego éste fragmento del artículo porque está muy bien explicado:
"Por lógica disquisición, el perro doméstico, no caza, no desgarra sus presas, no ingiere primero las partes más blandas, llegando a la saciedad y despreciando los huesos. El perro tiene la gran desventaja evolutiva de estar al lado del hombre, lo cual le ha transformado en un receptor de comida y en una máquina de digerir alimentos. Si a un perro se le ofrece un trozo de carne y oculto en su interior un hueso, se lo come, de la misma manera que lo haría con otro elemento oculto, pero, si se ve obligado a desgarrar o morder por el tamaño del bocado, utiliza su dentadura primitiva, y por acción lateral de los premolares y molares, corta y tritura para formar un bolo facilmente digerible. Luego, el perro doméstico, puede disfrutar con los huesos, siempre que el tamaño del mismo le obligue a ejercer la acción completa de masticación y no pase directamente a la deglución".
El hueso era de caña seguramente y por eso ha sido fácil que se encajara.
Para poder quitarlo, hay que sedar al perro.
Este perrillo llegó con salivación excesiva, nerviosismo y con un aumento de la frecuencia respiratoria (taquipnea).
Si ves a tu perro así, tras haber comido huesos, tienes que mirarle la boca detenidamente, porque es posible que algo le pase.
El veterinario lo que hará será hacer una exploración exhaustiva de la boca, que seguramente requiera sedación, y también una palpación del cuello y una radiografía torácica o toracoabdominal.

Aquí os dejo una foto de una radiografía de un perro al que se le quedó un hueso en el esófago y la foto del hueso de 6cm:


En éste caso, lo tuvieron que sacar por toracotomía (por el tórax) ya que la forma del hueso y tamaño no podía bajar hasta el estómago por sí solo.
