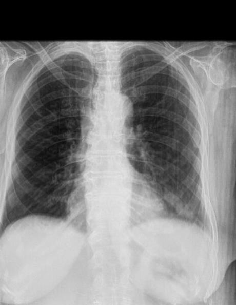
LA PROYECCION RADIOLOGICA OBTENIDA NOS MUESTRA LOS SIGUIENTES HALLAZGOS:
-Tejidos blandos, con densidad conservada, simétricos, sin evidencia de alteraciones.
-Estructuras óseas, sin evidencia de lesiones líticas, blásticas o perdida de la contigüidad. Con una vertebral central, con presencia de osteofitos marginales, con tendencia la formación de espículas.
-Vía aérea permeable.
-Mediastino, sin alteraciones. Botón aórtico, con calcificaciones.
-Corazón, con índice cardiotorácico menor a 0.5.
-Hilios pulmonares, con adecuada densidad. Existiendo en hilio pulmonar izquierdo, la presencia de imagen redondeada, regular, bien definida que mide 7 × 5 mm.
-Trama bronco-vascular, conservada.
-Campos pulmonares, con opacificación reticular difusa, a nivel de hilio pulmonar izquierdo, con presencia de imagen redondeada, regular, bien definida que mide 7 × 5 mm.
-Recesos cardiofrénicos y costofrénico sin alteraciones.
OPINIÓN RADIOLÓGICA:
EN EL PRESENTE ESTUDIO RADIOGRÁFICO, CON DATOS DE NEUMOPATÍA CRÓNICA INTERSTICIAL.
PULMÓN IZQUIERDO, EN TOPOGRAFÍA BILIAR, CON PRESENCIA DE IMAGEN SUGERENTE DE GANGLIO VS NÓDULO O GRANULOMA CALCIFICADO.
CAMBIOS OSTEODEGENERATIVOS Y ATEROESCLEROSIS.
CORRELACIONAR CON DATOS E HISTORIA CLINICA DEL PACIENTE
La entrada DATOS DE NEUMOPATÍA CRÓNICA INTERSTICIAL apareció primero en El Blog de Godie.
