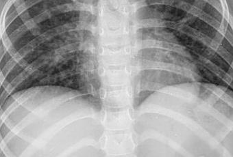
Se observa radiografía posteroanterior de tórax encontrando los siguientes hallazgos:
Los tejidos blandos se muestran con densidad conservada sin aparentes lesiones.
Tejido óseo muestra con adecuada densidad de manera generalizada, sin evidencia de lesiones líticas, blasticas, degenerativas o traumáticas, los arcos costales sin aumento o disminución de sus espacios intercostales, columna dorsal se muestra central con espacios intervertebrales aparentemente conservados. Ambas clavículas centrales.
Los ángulos costodiafragmaticos y cardiofrenicos se muestran libres sin lesiones demostrables.
Hemidiafragmas en situación habitual, sin lesiones aparentes.
El parénquima pulmonar se observa discreto aumento de la radiodensidad pulmonar de aspecto nodular inespecífico como datos incipientes de bronconeumonía.
La tráquea es central y su continuación con los bronquios principales se muestran de calibre y trayectorias habituales y permeables.
Los hilios se muestran sin lesiones aparentes.
La ventana aortopulmonar se muestra sin dilataciones, el trayecto y el calibre aórtico se encuentra conservado.
La silueta cardiaca se muestra sin aumento de sus cavidades de características aparentemente normal.
En abdomen se muestra gas con distribución habitual en estómago.
IMPRESIÓN RADIOLOGICA:
DISCRETO AUMENTO DE LA RADIODENSIDAD PULMONAR DERECHA COMO DATOS INCIPIENTES DE BRONCONEUMONIA CORRELACIONAR CON DATOS CLINICOS.
- junio 2024
- mayo 2024
- abril 2024
- noviembre 2023
- octubre 2023
- agosto 2023
- octubre 2022
- septiembre 2022
- julio 2022
- junio 2022
- mayo 2022
- febrero 2022
- enero 2022
- noviembre 2021
- septiembre 2021
- agosto 2021
- mayo 2021
- abril 2021
- marzo 2021
- febrero 2021
- enero 2021
- noviembre 2020
- octubre 2020
- agosto 2020
- julio 2020
- abril 2020
- octubre 2019
- septiembre 2019
- agosto 2019
- julio 2019
- junio 2019
- mayo 2019
- abril 2019
- marzo 2019
- febrero 2019
- enero 2019
- diciembre 2018
- noviembre 2018
- octubre 2018
- septiembre 2018
- agosto 2018
- julio 2018
- junio 2018
- mayo 2018
- abril 2018
- marzo 2018
- febrero 2018
- enero 2018
- diciembre 2017
- noviembre 2017
- octubre 2017
- septiembre 2017
- agosto 2017
- julio 2017
- junio 2017
- mayo 2017
- abril 2017
- marzo 2017
- febrero 2017
- noviembre 2016
- octubre 2016
- septiembre 2016
- agosto 2016
- junio 2016
- abril 2016
- agosto 2015
- julio 2015
- marzo 2015
- enero 2015
- diciembre 2014
- noviembre 2014
- octubre 2014
- septiembre 2014
- agosto 2014
- junio 2014
- mayo 2014
- marzo 2014
- febrero 2014
- diciembre 2013
- noviembre 2013
- octubre 2013
- julio 2013
- junio 2013
- mayo 2013
- marzo 2013
- febrero 2013
- enero 2013
- noviembre 2012
- octubre 2012
- septiembre 2012
- agosto 2012
- julio 2012
- junio 2012
- mayo 2012
- abril 2012
- marzo 2012
- febrero 2012
- enero 2012
- diciembre 2011
- noviembre 2011
- octubre 2011
- septiembre 2011
- agosto 2011
- julio 2011
- junio 2011
- mayo 2011
- abril 2011
- marzo 2011
- febrero 2011
- enero 2011
- diciembre 2010
- noviembre 2010
- octubre 2010
- septiembre 2010
- agosto 2010
- julio 2010
- junio 2010
- mayo 2010
- abril 2010
- marzo 2010
- febrero 2010
- enero 2010
- diciembre 2009
- noviembre 2009
- octubre 2009
- septiembre 2009
- agosto 2009
- julio 2009
- junio 2009
- mayo 2009
- abril 2009
- febrero 2009
- enero 2009
- diciembre 2008
- noviembre 2008
- octubre 2008
- septiembre 2008
- agosto 2008
- julio 2008
- junio 2008
- mayo 2008
- abril 2008
- marzo 2008
- febrero 2008
- enero 2008
- diciembre 2007
- noviembre 2007
- octubre 2007
- septiembre 2007
- ANM en MAMOGRAFIA. Tecnologia para los detectores digitales.marzo 3, 2024

Hola! me gustaría saber cómo puedo referenciar esta cita para un trabajo, gracias
- YAIR CASTILLO en Pseudocodigo de las torres de Hanoinoviembre 25, 2023

Cuando n valga 1 va a mostrar el mensaje «Mover el disco de la torre A a la torre C»…
- Froy Ms en http://siapportal.imss.gob.mx/biometrico/Biometrico/Web/wfrBiometrico.aspxnoviembre 1, 2023

Checa este link https://godieboy.com/2021/08/imss-biometrico.html
- Froy Ms en http://siapportal.imss.gob.mx/biometrico/Biometrico/Web/wfrBiometrico.aspxoctubre 30, 2023

Hola buen día, lo estoy platicando con él sindicato
- MAURICIO en EVALUACION DEL DOPPLER ARTERIAL DE MIEMBROS INFERIORESoctubre 13, 2023

HOLA ¿QUE BIBLIOGRAFIA USASTE?
