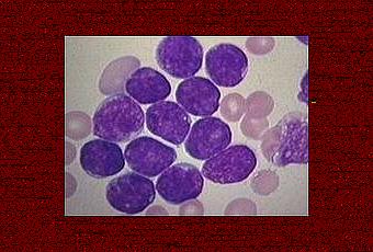
Investigadores de células madre y cáncer del Hospital del Mar en Barcelona (España )han demostrado que, si se fuerza la desactivación del complejo proteico NFkB en las leucemias linfoblásticas agudas T, se elimina la leucemia. Este descubrimiento, publicado en la revista Cancer Cell, abre la puerta al desarrollo de nuevos fármacos para este tipo de leucemias. Hasta ahora se sabía que la leucemia linfoblástica aguda T tenía las vías de señalización Notch y NFkB activadas. Las vías de señalización son un grupo de moléculas de una célula que trabajan juntas para controlar una o más funciones de las células, como la multiplicación o la muerte celular. Después de que la primera molécula recibe una primera señal, esta activa a las otras moléculas. Este proceso se repite hasta que la última molécula se activa y la célula realiza la función. La activación anormal de las vías de señalización puede conducir a un cáncer. Estudios previos han puesto de manifiesto que, según sea el nivel de expresión de la vía Notch y según sea el contexto celular, los receptores de membrana Notch contribuyen a que las células se vuelvan resistentes, rehúyan su muerte natural y se conviertan en células tumorales. Con este estudio se ha descubierto que inhibidores de la vía Notch tienen la capacidad de bloquear la vía NFkB, evitando la proliferación de las células T tumorales en las leucemias linfoblásticas agudas. La parte experimental del estudio se llevo a cabo en el IMIM y en la New York University.
Revista Salud y Bienestar
Investigadores de células madre y cáncer del Hospital del Mar en Barcelona (España )han demostrado que, si se fuerza la desactivación del complejo proteico NFkB en las leucemias linfoblásticas agudas T, se elimina la leucemia. Este descubrimiento, publicado en la revista Cancer Cell, abre la puerta al desarrollo de nuevos fármacos para este tipo de leucemias. Hasta ahora se sabía que la leucemia linfoblástica aguda T tenía las vías de señalización Notch y NFkB activadas. Las vías de señalización son un grupo de moléculas de una célula que trabajan juntas para controlar una o más funciones de las células, como la multiplicación o la muerte celular. Después de que la primera molécula recibe una primera señal, esta activa a las otras moléculas. Este proceso se repite hasta que la última molécula se activa y la célula realiza la función. La activación anormal de las vías de señalización puede conducir a un cáncer. Estudios previos han puesto de manifiesto que, según sea el nivel de expresión de la vía Notch y según sea el contexto celular, los receptores de membrana Notch contribuyen a que las células se vuelvan resistentes, rehúyan su muerte natural y se conviertan en células tumorales. Con este estudio se ha descubierto que inhibidores de la vía Notch tienen la capacidad de bloquear la vía NFkB, evitando la proliferación de las células T tumorales en las leucemias linfoblásticas agudas. La parte experimental del estudio se llevo a cabo en el IMIM y en la New York University.
