
Caso 2

Caso 1
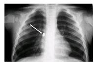
Como veo que les gusta, de vez en cuando, hacer de médicos de guardia aquí les pongo dos radiografías. Ustedes están de guardia un sábado de madrugada y se en cuentran frente a estas dos situaciones. En cada una de ellas me han de decir lo que ven, qué puede haber ocurrido y cómo "arreglamos" a estos angelitos. Ninguno de estos dos niños estaba en fermo pero uno de ellos tuvo que pasar por el quirófano. ¿Cuál y porqué?Suele ocurrir por descuido de los padres o de forma accidental pero el "trasiego" que pueden povocar es de órdago. Vigilen y estén atentos con sus vástagos; todo lo que entra por la boca...
