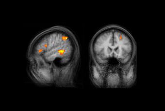
Si trabajas cerca de un programador sin duda te habrás preguntado, como yo, qué es exactamente lo que sucede dentro de su cabeza. Se trata de criaturas muy particulares – que no se me enfaden – capaces de concentrarse en la tarea de crear código como si acamparan en el corazón de Matrix. Pues bien, lo que ves sobre estas líneas es la imagen de resonancia magnética del cerebro de un programador - el primer estudio de este tipo que se realiza – y las áreas iluminadas son las zonas que se activan mientras lee código.
¿Qué sentido tiene hacer un estudio de este tipo? Como bien cuentan en Fast Company, resulta que en EEUU hay una pequeña pero interesante polémica acerca de qué formación deben recibir los futuros programadores. Mientras que en la mayoría de los Estados las ciencias informáticas se incluyen en la parte de ciencias y matemáticas, en Texas – y parece que pronto en Kentucky y Nuevo México – han hecho que la programación de código sea equivalente a una lengua extranjera. Y aquí viene la cuestión que nos interesa: ¿es la programación de código una habilidad más relacionada con las matemáticas o con el lenguaje?
Para averiguarlo, un equipo de investigadores internacional, dirigido por Janet Siegmund, de la Universidad de Passau, ha elaborado un primer estudio en el que sometieron a 17 estudiantes de informática (todos con conocimientos de programación y solo dos de ellos chicas) a una prueba con resonancia magnética funcional. En el experimento, tumbaron a los sujetos en el escáner y monitorizaron su actividad cerebral mientras leían unas líneas de código. Estas líneas de código indicaban una tarea de impresión del ordenador y los participantes debían predecir, en un tiempo determinado, qué texto imprimiría la máquina.
El resultado, por sorprendente que parezca a muchos, fue que las áreas cerebrales que se activaron tienen en principio más relación con el lenguaje que con el mero cálculo matemático. “No hay una prueba clara de que aprender lenguaje de programación sea como aprender una lengua extranjera”, asegura Christian Kästner, coautor del estudio, “pero nuestros resultados muestran que hay similitudes claras en la activación cerebral que indican que la hipótesis es plausible”.
Autor: Antonio Martínez Ron
Ampliar en: NEUROLAB

