Ya hemos hablado alguna vez de este asunto que hoy quiero ilustrar con un ejemplo... El paciente de la foto anterior nos muestra la cicatriz de su antigua operación de apéndice (apendicectomía), pero... como alguno de Uds. habrán observado, la cicatriz se encuentra en el lado izquierdo, cuando todo el mundo sabe que el apéndice está en la fosa ilíaca, pero en la derecha.
Efectivamente se trata de un SITUS INVERSUS TOTAL, esto es: de un paciente que tiene TODOS los órganos invertidos: el corazón a la derecha, el hígado a la izquierda, el estomago y el bazo a la derecha, etc...
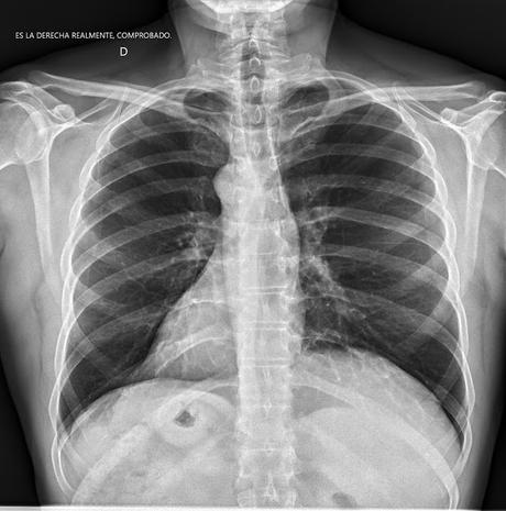
La radiografía que vemos más abajo corresponde al mismo paciente: como puede verse su corazón se sitúa a la derecha, hasta el punto de que el radiólogo añadió la nota que puede leerse en la esquina superior: "ES LA DERECHA REALMENTE, COMPROBADO"
No todos los días vemos un SITUS INVERSUS TOTAL, y mucho menos que tenga alguna MANIFESTACIÓN EXTERNA, esto es, que como en este caso hubiese sido intervenido de apéndicitis en el lado derecho, por este motivo he querido compartir con vosotros esta curiosidad científica que ayer acudió a mi consulta.
