Los cambios de apariencia en alguna zona de la boca puede ser indicativo de que alguna patología está afectando la salud de una persona. Es así como se considera que las encías blancas es uno de los signos que hacen referencia tanto a una afección bucal como en otra zona del cuerpo.
Aunque en muchos casos se trata de algo inofensivo, puede ser una manifestación que oculta una enfermedad mayor. Si has revisado tus encías y presentan esta tonalidad, no te alteres. A continuación te mostramos toda la información acerca del color blanco en las encías y cómo abordar este problema.
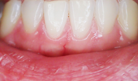
Encías blancas
Las encías actúan como una protección hacia los dientes. Es por esta razón que la apariencia de las mismas hace referencia a la salud bucodental. En este sentido, se reconoce que se goza de excelente salud cuando estas mantienen un color rosado. Una vez que esta pigmentación cambia, puede considerarse como una alerta ante cualquier riesgo de enfermedad oral.
Uno de los cambios de color más comunes que puede presentar una persona es presentar encías blancas. En el momento en que se note esta coloración se debe acudir a un profesional en odontología, ya que es sinónimo de que se presenta una enfermedad periodontal o alguna otra patología. Y es que no siempre está asociado directamente a algún problema de la boca.
¿Por qué se ponen blancas las encías?
Es indispensable conocer el funcionamiento de la boca para saber cuál es la razón de presentar encías blancas. Y lo principal a tener en cuenta es la gran cantidad de microorganismos patógenos que habitan dentro de esta. Pero sobre todo, es necesario reconocer que estos pueden ser tanto buenos como malos.
Si bien las bacterias orales han sido catalogadas como dañinas, lo cierto es que siempre están presentes en la cavidad oral. Por lo que es indispensable una buena higiene para lograr eliminarlas.

Cuando no se mantiene una buena higiene bucodental, estos microorganismos empiezan a proliferar de manera desmesurada. Y el exceso de población puede provocar afecciones orales, lo que genera una tonalidad blanquecina en las encías, llegando a producir inflamación y dolor. Por lo general, todo es provocado por la excesiva presencia de bacterias u hongos.
Al existir muchas causas que favorezcan la aparición de encía blancas, se hace necesario acudir a un especialista para evaluar el caso y recomendar el tratamiento más adecuado.
Causas de las encías blancas
Aunque se habla de la influencia de los microorganismos que habitan la boca sobre este cambio en las encías, hay que tener claro que son muchas las causas que pueden provocarlas. En este sentido, suelen destacar las siguientes:
Enfermedad periodontal
Se considera como la causa más frecuente de las encías blancas. Una patología de este tipo se inicia en el periodonto, por lo que el daño en la zona de soporte de los dientes avanza rápido, a su vez que genera inflamación. Se inicia con gingivitis, siendo la fase inicial de la enfermedad periodontal. Si no se trata a tiempo, se puede desarrollar periodontitis, con lo que existe riesgo de perder piezas dentales.
Hongos
La presencia excesiva de estos microorganismos en la boca puede provocar la aparición de infecciones fúngicas. En este sentido, se reconoce la candidiasis oral como la infección por hongos más recurrente en la cavidad oral. Esta es causada por un aumento de la población del hongo candida albicans, que va provocando la apariencia blanquecina en las encías.
Por lo general esto sucede cuando está en una etapa muy avanzada, ya que se inicia en la lengua y mejillas. Es muy común en personas con sistema inmune débil o hasta aquellos que poseen prótesis dentales.
Placa bacteriana
Se caracteriza por ser una película sólida y de aspecto blanquecino que se adhiere en los dientes y encías. Al existir una mala higiene oral, no se elimina correctamente, transformándose en sarro.

Liquen plano
Se trata de una enfermedad inflamatoria que afecta a la mucosidad de la boca. Puede presentarse en las mejillas, lengua o encías, destacando por presencia de manchas blancas o hasta rojizas.
Si no se atiende a tiempo, puede causar llagas que se rompen al momento del cepillado, o un cambio en el sabor de los alimentos que se consumen. Por lo general, suele ser un padecimiento de mayor incidencia en personas de sistema inmune débil o que presentan alergias recurrentes.
Úlceras
También conocidas como llagas o aftas, en muchas ocasiones suelen incidir sobre la apariencia de las encías. Destacan por ser lesiones pequeñas y blanquecinas que generan molestias al masticar o mover la boca. Por lo general son provocadas por la colocación de aparatos de ortodoncia, prótesis o fallos al morder. Y aunque no se consideran como una patología que genere preocupación, si son muy frecuentes debe explorarse si no existe una causa subyacente.
Esofaguitis
La esofaguitis destaca como una enfermedad que provoca la inflamación del esófago. Esto a su vez causa constante reflujo estomacal, lo que favorece la aparición de encías blancas en algunos casos.
Anemia
Los niveles bajos de hierro en la sangre suelen generar mucha preocupación en los médicos. Cuando se presenta anemia ferropénica, uno de los primeros signos que se detectan es la coloración blanquecina de las encías. En su mayoría, viene acompañado de síntomas como inflamación y sangrado.
Cáncer oral
El cáncer es una de las patologías que genera excesiva preocupación tanto en los pacientes como en los médicos. Si bien las encías blancas pueden presentarse como algo benigno, existen otros síntomas que acompañan y pueden anunciar que se padece cáncer oral. En este sentido, la persona pueden presentar:
- Molestias en la cavidad oral sin causa aparente.
- Aparición de úlceras que no desaparecen a pesar de aplicarse tratamiento.
- Dolor y dificultad al momento de masticar y tragar.
- Aparición de manchas en la zona de las encías.
- Sensación de hinchazón en la mandíbula.
En el momento en que se detecte cualquier síntoma, se recomienda asistir al especialista para que haga el diagnóstico pertinente. En primer lugar, es indispensable que sea un profesional en odontología quien haga la evaluación para determinar si el cuadro clínico realmente está relacionado con esta patología.
Tratamientos
En la mayoría de los casos, las encías blancas pueden tratarse desde la comodidad de tu hogar sin intervención profesional. Para esto, es indispensable realizar una correcta rutina de higiene oral. Esto favorecerá la eliminación de la placa bacteriana, y por consecuencia, las encías se tornarán nuevamente rosadas.

En caso de que no haya cambio si se mantiene una higiene constante, puedes dirigirte a una consulta con el dentista para realizar una limpieza dental o profilaxis. De esta manera, se puede eliminar completamente cualquier agente que sea la causa de esta coloración en las encías.
Si aún permanecen iguales, se debe hacer un estudio más profundo para indagar la razón subyacente que está produciendo este signo.
Recomendaciones para evitar las encías blancas
Para evitar la aparición de encías blancas, lo primordial es revisar que se esté realizando la técnica correcta de cepillado. Para esto, también será necesario verificar que se está utilizando un cepillo de dientes adecuado. Si las cerdas son muy duras o ya cumplió su tiempo de utilidad, puede afectar el proceso de higiene dental.
Todo esto debe ser acompañado del uso del hilo dental o cepillos interdentales. De esta manera se elimina cualquier microorganismo o partícula que habite entre los dientes.
Por último, se recomienda realizarse una limpieza dental al año para asegurar la salud de las encías y los dientes. Así como será indispensable para prevenir la aparición de cualquier patología que afecte la cavidad oral.
