Se realiza ultrasonido en escala de grises con aplicación Doppler color con transductor lineal multifrecuencia en tiempo real observando los siguientes hallazgos:
Piel y tejido celular subcutáneo: sin aparentes lesiones.
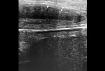
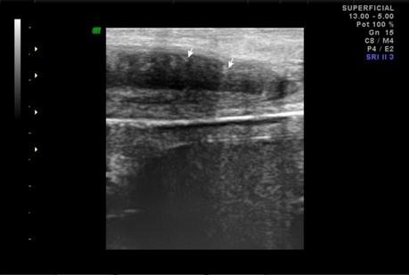
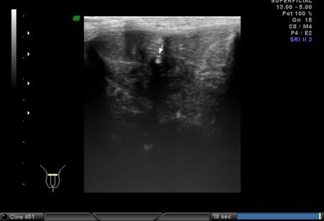
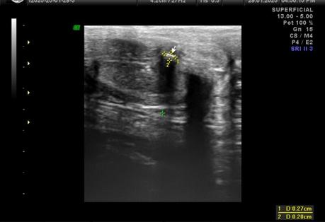
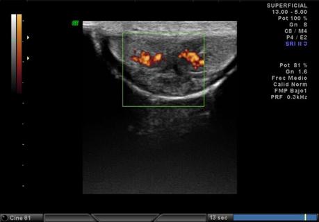
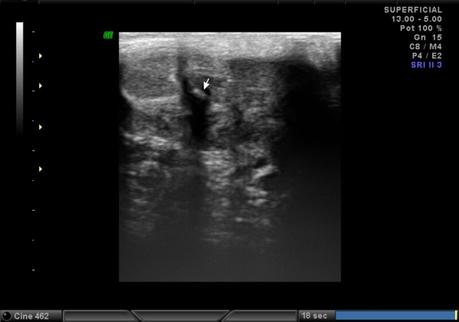
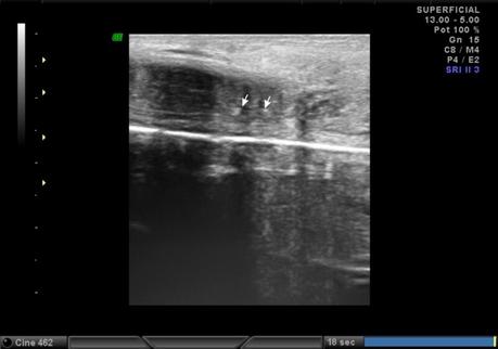
A nivel de base del pené, entre los cuerpos cavernoso y esponjoso en su porción central se observa la presencia de calcificación, que mide 2.2 mm. En tercio distal del pené, a nivel de cuerpos cavernosos con presencia de calcificación que mide 1.8 mm.
Uretra sin alteraciones.
Trayectos vasculares conservados.
IMPRESIÓN DIAGNOSTICA:
A NIVEL DE BASE Y TERCIO DISTAL DEL PENÉ, EN CUERPOS CAVERNOSOS CON PLACAS A RELACIÓN A ENFERMEDAD PEYRONIE.
RESTO DE ESTUDIO NORMAL.
La entrada ENFERMEDAD PEYRONIE apareció primero en El Blog de Godie.
