TECNICA:
Se realiza proyección DORSOPLANTAR Y OBLICUA DE PIE IZQUIERDO
HALLAZGOS:
Densidad mineral ósea preservada.
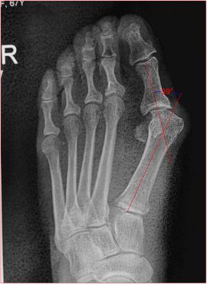
Desviación lateral del eje de alineación metatarso-falángico de 1er dedo.
Ángulo del Hallux 34° (VN <15°).
Se visualiza trazo de fractura en base de 5to metatarsiano, de disposición transversal, sin diástasis de
Huesos del tarso y falanges conservan su morfología, sin lesiones.
No se observan lesiones líticas o blásticas.
Espacios articulares de amplitud normal.
Relaciones articulares conservadas.
Plano de tejidos blandos sin densidades patológicas.
CONCLUSIÓN:
FRACTURA DE BASE DE 5TO METATARSIANO.
HALLUX VALGUS.
DEFINICION
conocido como Hallux Valgus es una deformidad de los pies que afecta al primer radio, caracterizado por la desviación lateral del primer dedo (hallux valgus), y una desviación medial del primer metatarsiano
Como las únicas estructuras de apoyo medial de la primera articulación metatarsofalángica es el sesamoideo medial los ligamentos colaterales mediales, su fracaso es la lesión más temprana y esencial.
MEDIDAS RADIOGRAFICAS El Ángulo del Hallux Valgus (HVA) se forma por la intersección de los ejes longitudinales de la falange proximal y el primer metatarsiano. Un HVA es considerado normal si es menos de 15 grados.
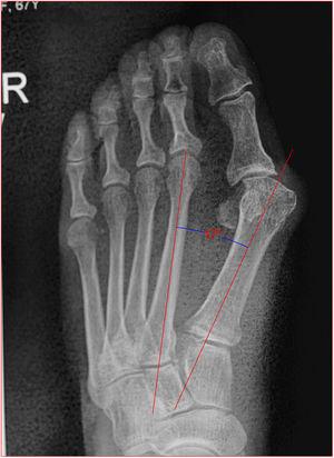
El Ángulo Intermetatarsal 1o-2o (IMA) se forma por la intersección de los ejes longitudinales del primer y segundo metatarsaianos. Un IMA normal es considerado normal si es menor de 9 grados.
CLASIFICACION LEVE MODERADA SEVERA HVA<30º HVA 30º – 40º HVA>40º IMA < 11º IMA 11º -16º IMA>16º
Definición Hallux= “dedo gordo” Valgus= “hacia afuera”
Es la deformidad mas frecuente del pie y de la patología del aparato locomotor.
“Valgus” se refiere a la anulación del 1er dedo hacia afuera.
Es característica la prominencia que forma la cabeza del metatarsiano (“bunion”)
Se suele asociar: – Desviación simétrica del 5to dedo en varo – Luxaciones dedos centrales (pie triangular)
Anatomía Radiológica:
La evaluación radiológica debe hacerse siempre en proyecciones con apoyo dorsoplantar para evaluar la magnitud del desplazamiento, y lateral para determinar la elevación de la cabeza y osteofitos dorsales. Las proyecciones adicionales oblicuas y axial de sesamoideos sirven para evaluar artrosis y desplazamiento lateral de los sesamoideos.17
Angulo de valgo: es la intersección del ejes longitudinales del primer metatarsiano y de la falange proximal del hallux. Normal hasta 15 grados

Angulo intermetatarsiano
Es el ángulo entre los ejes longitudinales de primer y segundo metatarsiano, normalmente es menor de 12 grados, cuando esta aumentado se llama metatarso primo varo o aducto y deberá corregirse con osteotomía (fig. 9).


