Técnica:
Se obtiene radiografía de mano derecha en proyección dorso palmar, lateral y oblicua, con los siguientes hallazgos:
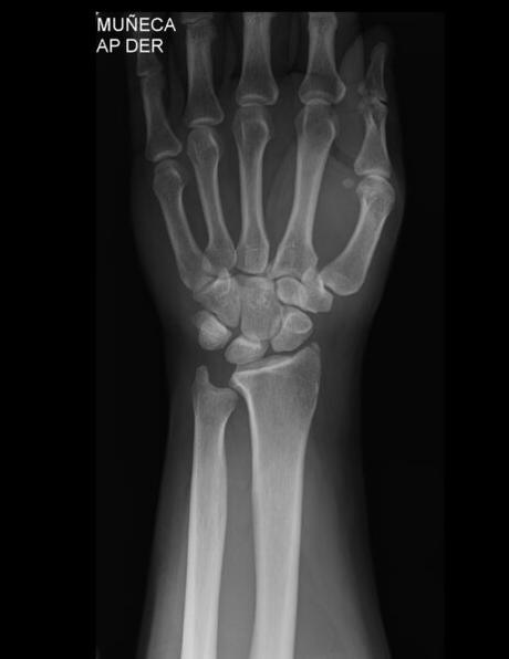
Descripción:
Los tejidos blandos muestran densidad y volumen normal.
La densidad mineral ósea es normal en forma generalizada. Las estructuras óseas sin alteraciones en su morfología y alineación. Se demuestran trazos radiolúcidos de fractura transversal incompleta en estiloides radial y oblicua en escafoides no desplazadas. No se demuestran lesiones osteolíticas u osteoblásticas,
Las relaciones articulares muestran espacios articulares están conservados, sin erosiones subcondrales.
Comentario
FRACTURA DE ESCAFOIDES DERECHO.
FRACTURA TRANSVERSAL DE ESTILOIDES RADIAL.
RESTO DELESTUDIO DENTRO DE LÍMITES NORMALES.
La entrada FRACTURA DE ESCAFOIDES apareció primero en El Blog de Godie.
