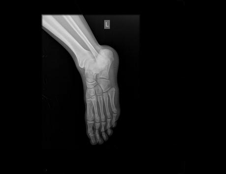
Radiografía anteroposterior y oblicua de pie, donde se observan los siguientes hallazgos:
• Porción distal de tibia y peroné presentan adecuada mineralización ósea, sin evidencia de lesiones líticas o blásticas, ni trazos de fractura.
• Astrágalo, calcáneo y huesos del tarso con densidad ósea normal, sin observar soluciones de continuidad, lesiones líticas o blásticas, sin esclerosis de sus bordes. Adecuada relación entre las estructuras óseas del tarso.
• Se aprecia solución de continuidad de trazo transverso en el quinto metatarsiano a nivel proximal. Resto de los huesos metatarsianos y falanges con adecuada mineralización ósea, sin evidencia de lesiones líticas o blásticas, ni trazos de fractura.
• Articulaciones tarso-metatarsianas, metatarso-falángicas, e interfalángicas presentan espacio conservado y superficies articulares definidas.
• Tejidos blandos con adecuada diferenciación, sin evidencia de alteraciones.
Impresión diagnóstica:
-En el presente estudio que muestra fractura proximal del 5to metatarsiano (fractura de Jones). Resto sin evidencia de alteraciones detectables al momento. A correlacionar con historia clinica del paciente.

- junio 2024
- mayo 2024
- abril 2024
- noviembre 2023
- octubre 2023
- agosto 2023
- octubre 2022
- septiembre 2022
- julio 2022
- junio 2022
- mayo 2022
- febrero 2022
- enero 2022
- noviembre 2021
- septiembre 2021
- agosto 2021
- mayo 2021
- abril 2021
- marzo 2021
- febrero 2021
- enero 2021
- noviembre 2020
- octubre 2020
- agosto 2020
- julio 2020
- abril 2020
- octubre 2019
- septiembre 2019
- agosto 2019
- julio 2019
- junio 2019
- mayo 2019
- abril 2019
- marzo 2019
- febrero 2019
- enero 2019
- diciembre 2018
- noviembre 2018
- octubre 2018
- septiembre 2018
- agosto 2018
- julio 2018
- junio 2018
- mayo 2018
- abril 2018
- marzo 2018
- febrero 2018
- enero 2018
- diciembre 2017
- noviembre 2017
- octubre 2017
- septiembre 2017
- agosto 2017
- julio 2017
- junio 2017
- mayo 2017
- abril 2017
- marzo 2017
- febrero 2017
- noviembre 2016
- octubre 2016
- septiembre 2016
- agosto 2016
- junio 2016
- abril 2016
- agosto 2015
- julio 2015
- marzo 2015
- enero 2015
- diciembre 2014
- noviembre 2014
- octubre 2014
- septiembre 2014
- agosto 2014
- junio 2014
- mayo 2014
- marzo 2014
- febrero 2014
- diciembre 2013
- noviembre 2013
- octubre 2013
- julio 2013
- junio 2013
- mayo 2013
- marzo 2013
- febrero 2013
- enero 2013
- noviembre 2012
- octubre 2012
- septiembre 2012
- agosto 2012
- julio 2012
- junio 2012
- mayo 2012
- abril 2012
- marzo 2012
- febrero 2012
- enero 2012
- diciembre 2011
- noviembre 2011
- octubre 2011
- septiembre 2011
- agosto 2011
- julio 2011
- junio 2011
- mayo 2011
- abril 2011
- marzo 2011
- febrero 2011
- enero 2011
- diciembre 2010
- noviembre 2010
- octubre 2010
- septiembre 2010
- agosto 2010
- julio 2010
- junio 2010
- mayo 2010
- abril 2010
- marzo 2010
- febrero 2010
- enero 2010
- diciembre 2009
- noviembre 2009
- octubre 2009
- septiembre 2009
- agosto 2009
- julio 2009
- junio 2009
- mayo 2009
- abril 2009
- febrero 2009
- enero 2009
- diciembre 2008
- noviembre 2008
- octubre 2008
- septiembre 2008
- agosto 2008
- julio 2008
- junio 2008
- mayo 2008
- abril 2008
- marzo 2008
- febrero 2008
- enero 2008
- diciembre 2007
- noviembre 2007
- octubre 2007
- septiembre 2007
- junio 2024
- mayo 2024
- abril 2024
- noviembre 2023
- octubre 2023
- agosto 2023
- octubre 2022
- septiembre 2022
- julio 2022
- junio 2022
- mayo 2022
- febrero 2022
- enero 2022
- noviembre 2021
- septiembre 2021
- agosto 2021
- mayo 2021
- abril 2021
- marzo 2021
- febrero 2021
- enero 2021
- noviembre 2020
- octubre 2020
- agosto 2020
- julio 2020
- abril 2020
- octubre 2019
- septiembre 2019
- agosto 2019
- julio 2019
- junio 2019
- mayo 2019
- abril 2019
- marzo 2019
- febrero 2019
- enero 2019
- diciembre 2018
- noviembre 2018
- octubre 2018
- septiembre 2018
- agosto 2018
- julio 2018
- junio 2018
- mayo 2018
- abril 2018
- marzo 2018
- febrero 2018
- enero 2018
- diciembre 2017
- noviembre 2017
- octubre 2017
- septiembre 2017
- agosto 2017
- julio 2017
- junio 2017
- mayo 2017
- abril 2017
- marzo 2017
- febrero 2017
- noviembre 2016
- octubre 2016
- septiembre 2016
- agosto 2016
- junio 2016
- abril 2016
- agosto 2015
- julio 2015
- marzo 2015
- enero 2015
- diciembre 2014
- noviembre 2014
- octubre 2014
- septiembre 2014
- agosto 2014
- junio 2014
- mayo 2014
- marzo 2014
- febrero 2014
- diciembre 2013
- noviembre 2013
- octubre 2013
- julio 2013
- junio 2013
- mayo 2013
- marzo 2013
- febrero 2013
- enero 2013
- noviembre 2012
- octubre 2012
- septiembre 2012
- agosto 2012
- julio 2012
- junio 2012
- mayo 2012
- abril 2012
- marzo 2012
- febrero 2012
- enero 2012
- diciembre 2011
- noviembre 2011
- octubre 2011
- septiembre 2011
- agosto 2011
- julio 2011
- junio 2011
- mayo 2011
- abril 2011
- marzo 2011
- febrero 2011
- enero 2011
- diciembre 2010
- noviembre 2010
- octubre 2010
- septiembre 2010
- agosto 2010
- julio 2010
- junio 2010
- mayo 2010
- abril 2010
- marzo 2010
- febrero 2010
- enero 2010
- diciembre 2009
- noviembre 2009
- octubre 2009
- septiembre 2009
- agosto 2009
- julio 2009
- junio 2009
- mayo 2009
- abril 2009
- febrero 2009
- enero 2009
- diciembre 2008
- noviembre 2008
- octubre 2008
- septiembre 2008
- agosto 2008
- julio 2008
- junio 2008
- mayo 2008
- abril 2008
- marzo 2008
- febrero 2008
- enero 2008
- diciembre 2007
- noviembre 2007
- octubre 2007
- septiembre 2007
