La gingivitis es un problema de salud pública importante en los países en vías de desarrollo. La incidencia aumenta cada día más y la prevalencia se mantiene, más aún cuando, se trata de los estratos más bajos. Es más frecuente en niños a temprana edad (preescolares y escolares) y mujeres en estado de gravidez, haciéndose más notable en el inicio del primer o segundo trimestre, además cuando en la escuela, o la comunidad no se implementan medidas adecuadas para un buen mantenimiento de la salud bucal.
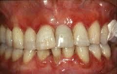
La gingivitis: es un estado inflamatorio de las encías, las cuales se encuentran eritematosas (rojizas), retraídas y edematizadas. Frecuentemente es causada por agentes bacterianos, que comienzan a reproducirse por la acumulación de residuos de alimentos, secreción mucosa propia de la cavidad oral, que se transforma en placa y luego en sarro; almacenándose al final de la pieza dentaria y provocando sensibilidad, hasta llegar a una enfermedad periodontal


Factores predisponentes a la formación de gingivitis:
- Variaciones hormonales (pubertad, menstruación, gravidez)
- Enfermedades crónicas (Diabetes mellitus mal controlada o sin ningún tipo de tratamiento, IRC)
- Mal higiene oral (mal cepillado de la dentadura, no uso de hilo dental)
- Déficit de nutrientes (deficiencia de vitamina C)
- Anatómicos (mal alineamiento dental)
- Uso recurrente de algunos fármacos (antibióticos, anticonceptivos orales, anticoagulantes orales)
En general la gingivitis, tiene como característica, que al retirar el factor predisponente, esta tiene remisión total


Síntomas y signos de gingivitis:
- Eritema en las encías (se ven afresadas, alrededor de las piezas dentales)
- Retracción de las encías (se aprecian como nudos entre los dientes)
- Edema en encías
- Sensibilidad aumentada en encías
- Sangramiento de las encías al cepillarse


Tratamiento para la gingivitis
- Tratamiento especializado: el odontólogo realizara un examen riguroso a toda la dentadura y encías, para determinar si existe alguna enfermedad dental o algún factor predisponente para que se produzca.
- Hay que instruir al paciente sobre cómo debe realizar la limpieza diaria de su dentadura, para así evitar infecciones: uso del hilo dental, que tipos de crema dental usar, uso de cepillos interdentales, etc.
- Se realiza limpieza donde se retira todo material indeseable que se encuentre incrustado en los dientes y encías. En caso de que este en presencia de placa o sarro, deberá retirarlo para así evitar que la enfermedad siga avanzando y no llegue a periodontitis. Esto se logra con ayuda de equipos de peridoncia, tal como crema dental que contenga flúor, para eliminar las manchas en la dentadura
- En muchas ocasiones, cuando la gingivitis es grave, se hace necesario, indicar tratamiento antibiótico para poder corregir la infección bacteriana, presente por la acumulación de residuos, formación de placa y sarro
- Es importante el uso de enjuague bucal, posterior a cada cepillado y no hay que olvidar que, es imprescindible el cepillado antes de dormir, en vista que es en este momento que las bacterias, aumentan su actividad y además, la placa tarda aproximadamente 24 horas para adherirse al diente y convertirse en sarro
- Tratamiento casero: además del tratamiento que te recomienda tu odontólogo, existen otras opciones, que aunque la mayoría no han sido bien estudiadas, se sabe que tienen efecto antibacteriales, por sus propiedades intrínsecas y son muy útiles a la hora de prevenir y tratar la gingivitis, pero en enfermedades periodontales severas, debes consultar a tu médico
- Bicarbonato de sodio: muchos estudios han demostrado que este agente, por si solo no provee beneficios en la curación de las enfermedades de las encías; sin embargo es importante recalcar que, se puede incluir como preventivo, ya que éste actúa como alcalinizante en la cavidad oral, evitando así, que se acumule restos de alimentos y bacterias. Tome en cuenta que esta opción no desplaza el uso de la crema dental. Se prepara colocando en una taza de agua tibia 3 cucharaditas dulceras de bicarbonato de sodio, coloca la mezcla en todos los lugares donde se incrustan residuos de comida, luego cepilla los dientes como lo haces normalmente, enjuagas y luego, cepillas con crema dental.
- Peróxido de hidrogeno (agua oxigenada): en vista que entre las propiedades del agua oxigenada, se encuentra que es antiséptico, este sería una buena opción en el tratamiento y más en la prevención de la gingivitis, además tiene efecto blanqueador de las piezas dentarias. Se usa realizando buches o gárgaras, posterior al cepillado y después de usar el hilo dental
- Sábila (aloe vera): por sus propiedades antiinflamatorias, se ha asociado a buena respuesta en el tratamiento de la gingivitis; solo debes frotar el gel en tu dentadura todos los días antes del cepillado normal, cepilla y enjuaga. Se debe realizar el procedimiento por lo menos tres veces al día
- El uso diario de agua de menta, ayuda a reducir la halitosis, además de actuar como antiinflamatorio. Solo coloca hojas de menta en una taza de agua hervida y deja reposar por 10 minutos y enjuaga tu boca después de la limpieza y cepillado diario


Si deseas ampliar esta información o conocer mas acerca de la salud bucal, te sugiero que leas los siguientes artículos relacionados: Trucos para unos dientes blancos, perfectos y fuertes, 10 mitos y verdades acerca de los implantes dentales.
