Revista Tecnología

Glioma de alto grado

Publicado el 04 mayo 2019 por Godieboy @godi

Caso clínico: Paciente femenino de la quinta década de la vida que acudió por presentar cefalea persistente así como hemiparesia corporal izquierda no densa proporcionada. Durante su protocolo de estudio se realizan estudios de extensión y se exponen los hallazgos trans y post operatorios.

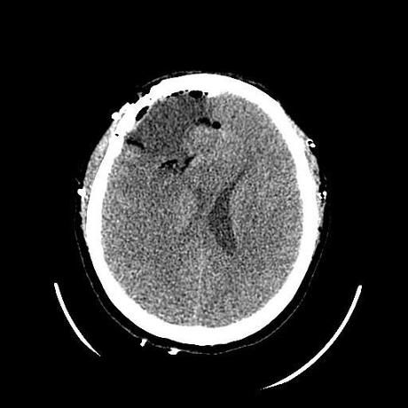
Corte axial post quirúrgico, adecuada resección de lesión. Axial CT scan, showing a proper tumor resection

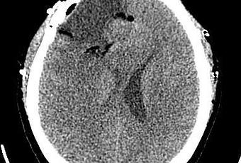
Corte axial post quirúrgico, adecuada resección de lesión.

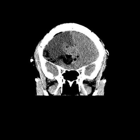
Corte coronal post quirúrgico, adecuada resección de lesión. Coronal CT scan, showing a proper tumor resection

El reporte fue glioma de alto grado (GB), posteriormente la paciente acudirá para manejo adyuvante con quimio y radioterapia

🙂

Glioma de alto grado
Glioma de alto grado
Glioma de alto grado
Glioma de alto grado
Craneotomia frontal derecha – Espacio epidural Right frontal craniotomy – Epidural space
Glioma de alto grado
Craneotomia frontal derecha, con duramadre expuesta y reflejada hacia la linea media para exponer F1, F2 y giro precentral. Right frontal craniotomy, the duramater was reflected to the left side in order to expose F1, F2 and pre central gyrus
Glioma de alto grado
Resección final posterior a tiempo microquirúrgico, se ha dejado giro frontal medio a la vez que que la circunvolución del cíngulo. Se visualiza arteria pericallosa durante la resección, la cual quedó intacta. Final resection after microsurgical time, the cortex of the frontal medial gyrus was left untouched, as well as the cingulate gyrus. The right A3 segment was seen during resection and left without damage.
Glioma de alto grado
Después de la durorrafia el colgajo óseo autólogo fue fijado nuevamente a su sitio mediante sutura no absorbible. Es importante mantener un efecto cosmético óptimo en el postquirúrgico After dural closure, the autologous bone was reattached in place with non-absorbable stitches. It is important to keep in mind the cosmetic effect after surgery.
Glioma de alto grado
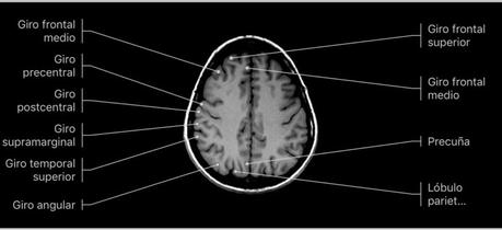
Giros frontales

Volver a la Portada de Logo Paperblog