No son pocas las situaciones en las que el significado del lenguaje médico difiere totalmente del castellano que hablamos en la calle, aunque ésta de hoy puede constituir un buen ejemplo:
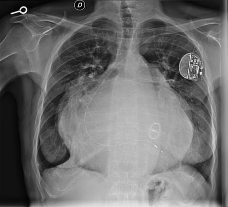
La persona radiografiada tiene una cardiomegalia, esto es, un corazón grande. Y créanme si les digo que en verdad lo es: porque es el más grande que yo, personalmente, he visto en mi consulta y en toda mi vida.
Obviamente, la "grandeza" de este corazón se debe al padecimiento, ya desde la infancia, de varias enfermedades. En la imagen la mancha blanca central corresponde al corazón, en el que podemos ver que se han implantado una válvula y un marcapasos...
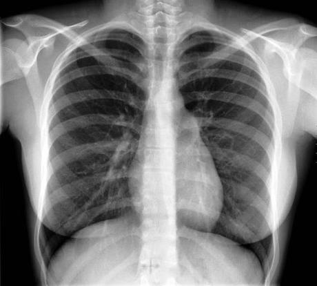
Un poco por comparar esa cuestión de tamaños, a continuación la imagen de un corazón con un tamaño normal:
Tener un corazón grande o tener grandeza de corazón, en medicina, nada tienen que ver con lo que estas cosas significarían en la calle, adónde tales expresiones suelen referirse a virtudes como la generosidad o la nobleza.
