El granuloma piógeno es un tumor benigno compuesto por una proliferación angiogénica de capilares que suelen aparecer en zonas de roce o traumatismos.
Suele tener apariencia pediculada con una coloración roja intensa.
En el pie suele presentarse asociado a la onicocriptosis. Aunque no es una alteración muy frecuente aparece en ocasiones en uñas encarnadas de mucho tiempo de evolución. Puede alcanzar el tamaño de un guisante y es fácil distinguirlo del resto del labio ungueal inflamado.
Sangra con facilidad debido a que carece de recubrimiento epitelial.
Es importante distinguirlo de otro tipo de tumoraciones que también se pueden localizar en la zona que rodea a la uña (zona periungueal).
Causas del granuloma piógeno
La causa del granuloma piógeno está relacionada con la agresión repetida en una determinada zona de la piel del cuerpo.
Antiguamente se relacionaba la causa del granuloma piógeno con los procesos infecciosos de la piel. Incluso su nombre adolece a este motivo (piógeno) en alusión a la flora bacteriana de la piel.
En la actualidad se ha demostrado por los análisis histológicos que la formación del granuloma piógeno no tiene relación alguna con una infección dérmica. Seguramente esta creencia está justificada por las infecciones que en ocasiones se localizaban en el seno o alrededor de la lesión.
Parece ser que el mecanismo productor del granuloma piógeno es un trauma repetido en la piel. La herida más o menos superficial del epitelio dérmico va ser reparada por el organismo por tejido cicatricial compuesto en su mayoría por tejido fibroso.
Si durante el mecanismo de reparación se produce un aumento en la proliferación de vasos sanguíneos terminales puede iniciarse la formación de un granuloma.
Con el paso del tiempo al repetirse los procesos de reparación dérmica se va formando el granuloma. En el caso de la uña encarnada la herida producida por la uña en el labio ungueal inicia el proceso reparador del organismo en el intento de solucionar el daño causado.
Sin embargo, el cierre de la piel se dificulta por la invasión de la espícula de uña en la herida del borde ungueal. Si el problema se alarga en el tiempo y la uña no es retirada del borde ungueal, el tejido de granulación de la herida se irá hipertrofiando paulatinamente hasta formar un granuloma.
Normalmente estos tumores carecen de una capa externa que los envuelva a modo de epitelio, por lo que sangran con facilidad con el simple roce del calcetín.
¿Qué síntomas aparecen?
Normalmente el granuloma piógeno no duele pero nos vamos a encontrar la sintomatología propia de la uña encarnada más la del propio granuloma:
- Dolor en la uña, más localizado en el lateral ungueal. El dolor se exacerba si presionamos esta zona pero también apretando directamente sobre la lámina ungueal aumentamos el dolor, debido a que también presionamos la uña en conjunto hacia los tejidos que la rodean.
- Inflamación y enrojecimiento de los tejidos que rodean a la uña. La piel del dedo aparece ruborizada en la zona cercana a la uña, y sobre todo en los bordes ungueales. La coloración del dedo puede variar entre el rojo intenso al violáceo.
- Infección del borde ungueal con formación de pus, la cual puede salir al exterior por la explosión del absceso.
- Pequeña tumoración del borde ungueal del tamaño de un guisante, de color rojizo.
- Incapacidad para calzarse o ponerse calcetines o medias estrechas.
- En ocasiones los calcetines aparecen manchados de sangre en la zona de la uña encarnada, debido a la facilidad con la que sangra el granuloma.
¿Cómo se diagnostica?
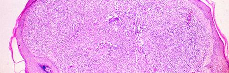
El diagnóstico exacto del granuloma piógeno sólo se puede realizar mediante el estudio histológico de la lesión. Para tal efecto se realiza la excisión quirúrgica de la tumoración y se remite al anatomopatólogo.
En el análisis histológico encontramos una proliferación vascular localizada superficialmente en la dermis. Esta proliferación consiste en una nueva formación de capilares envueltos por una capa simple de células endoteliales.
Es importante diferenciar el granuloma piógeno de otras tumoraciones periungueales como el melanoma maligno, carcinoma de células escamosas, tumor glómico, o un simple tejido de granulación postraumático.
Tratamiento del granuloma piógeno
El tratamiento del granuloma piógeno es la excisión quirúrgica de la lesión. Normalmente se asocia a la intervención quirúrgica que se utiliza para solucionar el problema de la uña encarnada. La técnica más utilizada es la técnica de Fenol-Alcohol que consiste en aplicar ácido fénico en los bordes ungueales, una vez retirados éstos. Esta técnica consigue un buen resultado estético y un postoperatorio indoloro, que permite al paciente incorporarse rápidamente a su vida normal. En el caso de existir el granuloma piógeno se añade la excisión del granuloma mediante bisturí. La lesión es remitida a estudio anatomopatológico para su diagnóstico exacto.
También se puede emplear la electrocoagulación o el nitrato de plata para intentar la reducción o eliminación del mismo.
¿Cómo puedo evitarlo?
La mejor prevención para evitar la formación del granuloma piógeno es acudir al podólogo siempre que tengamos una uña encarnada. Si mantenemos el problema durante mucho tiempo es posible que se inicie el proceso de formación del granuloma.
Por otra parte es necesario seguir los consejos para evitar el problema de encarnamiento de la uña y que básicamente consiste en:
- Cortar la uña recta sin redondearla en los bordes y evitando profundizar en los laterales de la uña. Siempre deberemos ver que la uña queda libre y que no está escondida en el canal ungueal.
- Utilizar un instrumental adecuado para el corte de las uñas de los pies, como cortaúñas o alicates específicos para ello. Evitar el uso de tijeras y sobre todo si tienen punta.
- No recortar las cutículas que rodean a la uña, ya que podremos provocar una herida en el dedo que se puede infectar.
- No arrancarse la uña con los dedos ni tirar de ninguna espícula. Utilizar un instrumento de corte para retirarlo.
- No usar zapato de punta estrecha que comprima el pie.
- No usar medias ni calcetines estrechos que compriman la punta del pie.
- Controlar el sudor excesivo de los pies con el uso de un antitranspirante específico. Usar calcetines de hilo, lana o algodón y evitar el uso de calcetines o medias sintéticas.
- Si tengo dificultad para cortar las uñas de los pies, acudir a un especialista para que lo haga.
- Si practica un deporte que predispone a recibir golpes en los dedos, usar un calzado adecuado y controlar cualquier problema de la uña acudiendo al especialista para solucionarlo.
Acudir al médico
Si padece algún tipo de dolor en la uña que a priori no puede identificar acuda a un especialista para que la examine e identifique la causa del problema.
Si se le ha clavado la uña no intente solucionar el problema por si sólo, acuda a u especialista cuanto antes para que se lo resuelva. Así evitará infecciones y problemas añadidos.
Si su uña está curvada o en forma de teja, acuda al especialista para que la corte e intente educarla, evitando que ésta se pueda clavar.
Si tiene limitaciones para agacharse o tiene la visión disminuida acuda a un especialista para que le corte la uña.
Si la uña es muy gruesa o está muy dura acuda al especialista para que la rebaje y la corte.
En caso de infección y presencia de pus debe acudir al especialista con urgencia para evitar complicaciones y empeoramiento de la afección.
