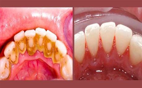
A pesar de que mantengamos una higiene oral a diario y de forma cuidadosa, con el tiempo tiende a acumularse en los dientes una placa de bacterias dando problemas no solo estéticos, sino también sobre la salud de nuestros dientes.

No siempre nos es posible recurrir al dentista, por diversas razones, especialmente económicas, por eso hoy quiero ofreceros un método natural para eliminar este molesto sarro y que además hará que tus dientes estén limpios, blancos y sanos.
La placa dental no es más que una capa de bacterias que se forma tanto en el diente como en la encía. Normalmente en la zona en que se une encía y diente. Si al cepillarnos los dientes la placa no se elimina se endurece y pasa a ser sarro. Esta capa de bacterias puede darnos muchos problemas dentales como caries, gingivitis o periodentitis.
Es más, si tenemos placa también perjudica al esmalte de nuestros dientes. ¿Cómo lo hace? Usando los azúcares de la comida que comemos. Las bacterias lo usan dando lugar a un ácido que daña el esmalte dental.
Todo lo que necesitas es:
- 30 gramos de cáscaras de nuez.
- Agua.
El proceso para prepararlo también es muy sencillo. Coge las cáscaras de varias nueces, ponlas en una cazuela y añade el agua. Tienes que dejarlo en ebullición 15 minutos, luego lo sacas del fuego y lo dejas enfriar.
Mojar el cepillo de dientes en la mezcla y cepíllate los dientes durante cinco minutos con esta mezcla.
Repite esta acción mañana, tarde y noche.
Recuerda enjuagarte bien la boca después de cepillarte los dientes con esta mezcla para que no quede ningún resto.
También os aconsejo que uséis vinagre de manzana a modo de enjuague una vez a la semana (no más). Eso sí, después de usarlo hay que enjuagar bien los dientes, de lo contrario, si lo usamos más veces o si no nos enjuagamos la boca después resulta perjudicial porque daña el esmalte.




