PA DE TORAX (TELE DE TORAX)
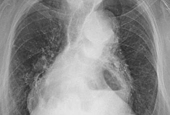
LA PROYECCION RADIOLOGICA OBTENIDA NOS MUESTRA LOS SIGUIENTES HALLAZGOS:
-Tejidos blandos, con densidad conservada, simétricos, sin evidencia de alteraciones.
-Estructuras óseas, sin evidencia de lesiones líticas, blásticas o perdida de la contigüidad.
-Vía aérea permeable, tráquea con desviación hacia la derecha por botón aórtico.
-Mediastino, con aumento de sus diámetros, a expensas de imagen de aparente topografía retro cardiaca con nivel hidro aéreo en su interior, que mide aproximadamente 7.2 X 6.5 cm.
-Corazón, con índice cardiotorácico de 0.58.
-Hilios pulmonares, con presencia de adenopatías, de predominio izquierdo.
-Trama bronco-vascular, conservada, con reforzamiento para hiliar.
-Ambos campos pulmonares, con opacidad reticular difusa bilateral. Con aparente atelectasia a nivel basal de pulmón derecho.
-Recesos cardiofrénicos y costofrénico sin alteraciones.
OPINIÓN RADIOLÓGICA:
EN EL PRESENTE ESTUDIO RADIOGRÁFICO, CON IMAGEN SUGERENTE DE HERNIA HIATAL CON ASCENSO DE CAVIDAD GÁSTRICA RETRO CARDIACA VS ABSCESO PULMONAR. SE SUGIERE REALIZAR PROYECCIÓN LATERAL PARÁ MEJOR CARACTERIZACIÓN.
DATOS DE NEUMOPATÍA INTERSTICIAL CRÓNICA.
ATEROESCLEROSIS.
CARDIOMEGALIA GRADO II.
CORRELACIONAR CON DATOS E HISTORIA CLINICA DEL PACIENTE
La entrada HERNIA HIATAL VS ABSCESO PULMONAR apareció primero en El Blog de Godie.
