Huesos rotos
¡Crack!… Nítido y sonoro. Se rompió. De forma inesperada, como suelen ser estas cosas. Un mal paso, y en tan sólo un segundo. Sin más.
Sin dilación alguna, asumió la urgencia. No hay tiempo que perder ¡Acción!
Buscó compañía y siguió el procedimiento adecuado para reparar la fractura ósea:
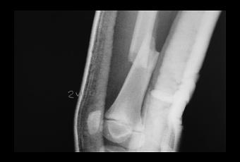
- Radiografía para analizar con la máxima precisión el daño interno.
- Consulta a los especialistas para garantizar la corrección del diagnóstico.
- Aplicación del tratamiento más adecuado para reparar el daño y evitar secuelas.
- Someterse a las necesarias revisiones para comprobar que el tratamiento está funcionando o, en caso necesario, corregirlo a tiempo.
- Rehabilitación para devolver la movilidad a la zona fracturada.
¡En un mes, como nuevo!
En la sala de espera de urgencias recordó… Hacía ya algunos años de aquella mañana. Bien temprano, mientras iba conduciendo, sonó el teléfono. Atendió la llamada. Oyó por primera vez su voz y enmudeció.
¡Crack! Nítido y sonoro. Se rompió. De forma inesperada, como suelen ser esas cosas. En tan sólo segundos. Sin más.
Entonces dilató, eludió la urgencia. Perdió el tiempo ¡Inacción!
Se aisló y ocultó la fractura y el dolor a todos, hasta a sí mismo:
- Evitó mirar la radiografía que evidenciaba con precisión lo que estaba realmente roto en su interior y desde cuándo.
- Eludió escuchar y admitir el diagnóstico, aplicando una errónea premisa: “si lo ignoro, no existe”.
- Escogió la negación, el silencio y el paso del tiempo como único tratamiento.
- Impidió a todos afrontar con franqueza la revisión y el recuerdo del daño hecho y sufrido.
- Habilitó el inmovilismo para que todo siguiera igual, con la esperanza de esquivar así el ineludible cambio vital que la fractura había evidenciado.
Continuó andando, ignorando las secuelas, encadenando silencios, uno tras otro. Nunca curó.
Años después, en la sala de espera de urgencias, miraba al vacío reflejado en la pared. Sus pensamientos, presentes y pasados, entrecruzaban fracturas, sopesaban reacciones, y comparaban dolores… ¡Con lo fácil que es sanar bien un hueso!
