Decidí implantarle una prótesis por los siguientes motivos fundamentalmente:
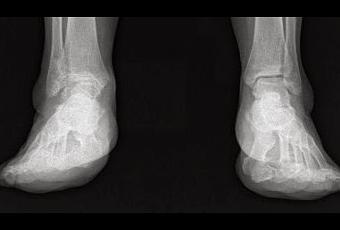
Primero es mayor de 60 años y, por lo tanto se cumple la expectativa de no tener, posiblemente, que recambiar la prótesis cuando ésta se deteriore.Segundo la demanda funcional normal del paciente es pequeña, es decir, no hace mucho deporte ni tiene un trabajo muy pesado.Y tercero, la calidad del hueso es aceptable y no presenta grandes deformidades.En caso de no cumplirse éstos supuestos hay, lógicamente, otras posibilidades de tratamiento, más adecuadas en cada caso.La principal ventaja de ésta cirugía es que permite recambiar una articulación dolorosa con poca movilidad normalmente, por una nueva con mejor movilidad y sin dolor, en contraposición con la cirugía convencional como por ejemplo, una artrodesis o fusión de la articulación (deja de doler pero se pierde la movilidad).Los inconvenientes principales son el precio que es alto, y la dificultad técnica de la intervención quirurgica.Abajo os muestro las radiografías de antes y después de la operación:



