
Lo que necesita saber
• La mayoría de los pacientes que se enferman gravemente con Covid-19 lo hacen principalmente debido a la insuficiencia respiratoria aguda tipo 1 y se benefician del reconocimiento temprano del deterioro respiratorio y la escalada adecuada en el soporte respiratorio
• El deterioro respiratorio se puede identificar por un aumento de la frecuencia respiratoria, la incapacidad de hablar oraciones completas, el uso de músculos accesorios en la respiración, la disminución de los niveles de oxígeno en la sangre y un mayor requerimiento de oxígeno suplementario.
• Todos los pacientes con Covid-19 ingresados en el hospital y muchos de los miembros de la comunidad deben tener un techo de atención establecido lo antes posible.
En respuesta a la pandemia de Covid-19, muchos sistemas de salud intentaron reorganizar rápidamente su fuerza laboral, incluyendo la redistribución de médicos de atención primaria y otras especialidades a salas de cuidados agudos.
La preparación para una posible redistribución futura sigue siendo esencial dado el riesgo de nuevas oleadas de Covid-19 a medida que la sociedad realiza ciclos de cierre y reapertura.
La mayoría de las personas que se enferman gravemente con Covid-19 tienen una enfermedad respiratoria aguda, y alrededor del 14% requerirán asistencia respiratoria no invasiva.
Además de cambiar a entornos de atención aguda a corto plazo, los médicos de atención primaria también atenderán a los pacientes (o sus seres queridos) que se recuperen de experiencias potencialmente traumáticas por enfermedades respiratorias.
Este artículo actualiza a los médicos especialistas de atención primaria sobre el reconocimiento y el manejo no invasivo de la insuficiencia respiratoria aguda y ayudará a los médicos generales en el posterior apoyo ambulatorio de los pacientes durante su recuperación.
Caso clínico
Un hombre de 50 años que se ha autoaislado durante ocho días por fiebre y tos fue llevado al departamento de emergencias en ambulancia después de una progresiva falta de aire en los últimos dos días.
Puede pronunciar oraciones completas, pero tiene una frecuencia respiratoria elevada de 24 respiraciones por minuto (rango normal 12-20). Su saturación periférica de oxígeno (SpO 2) era del 72% respirando aire ambiente cuando llegaron los paramédicos, y del 90% con oxigenoterapia (4 l/min) a través de una cánula nasal. El examen cardiovascular es normal y se encuentra afebril.
Definición y clasificación de insuficiencia respiratoria
El sistema respiratorio mueve el oxígeno del ambiente externo al torrente sanguíneo mientras elimina el dióxido de carbono. Esto requiere ventilación adecuada (el movimiento de gas dentro y fuera de los pulmones) e intercambio de gases (el movimiento de oxígeno y dióxido de carbono entre el pulmón y la sangre).
La insuficiencia respiratoria se refiere a la situación en la que falla uno o ambos procesos.
Esto puede conducir a niveles bajos de oxígeno (hipoxia) con o sin niveles altos de dióxido de carbono (hipercapnia). Tanto la hipoxia como la hipercapnia actúan como estímulos para respirar, siendo la hipercapnia la más poderosa en la mayoría de las situaciones. Conducen a la disnea que se manifiesta en los pacientes como falta de aire, opresión en el pecho o incapacidad para respirar profundamente.
> La insuficiencia respiratoria tipo 1 (T1RF, por su sigla en inglés) es principalmente un problema de intercambio de gases que resulta en hipoxia sin hipercapnia.
> La insuficiencia respiratoria tipo 2 (T2RF) ocurre cuando hay un movimiento reducido de aire dentro y fuera de los pulmones (hipoventilación), con o sin transferencia de gas interrumpida, lo que conduce a hipercapnia e hipoxia secundaria asociada.
La diferencia entre T1RF y T2RF es que los niveles de oxígeno son sensibles a problemas con el intercambio de gases o la ventilación.
Debido a la mayor solubilidad del gas en la sangre respecto al oxígeno, los niveles de dióxido de carbono no se ven tan gravemente afectados por los problemas de intercambio de gases, pero son igualmente sensibles a la ventilación deteriorada.
Insuficiencia respiratoria debido a Covid-19
SARS-CoV-2 se afecta principalmente al tracto respiratorio, causando inflamación generalizada en los pulmones en casos severos. Aproximadamente el 14% de todas las personas con Covid-19 desarrollan enfermedad respiratoria severa con T1RF, y otro 5% se empeorará críticamente, muchas de las cuales requerirán cuidados intensivos.
De acuerdo con otros informes, hay un subconjunto de pacientes con Covid-19 que no requieren intubación pero que tienen hipoxemia severa que es refractaria a la oxigenoterapia simple y que requieren soporte respiratorio no invasivo.
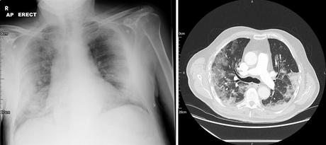
A pesar de los grandes cambios inflamatorios en los pulmones, que pueden ser evidentes radiológicamente (ver imagen), la ventilación parece estar menos afectada que el intercambio de gases, lo que resulta en hipoxia severa (a menudo) sin hipercapnia (T1RF).
De hecho, los pacientes a menudo no tienen dificultad para mover grandes volúmenes de aire dentro y fuera de los pulmones; de ahí la falta de hipercapnia (T2RF) en la mayoría de los pacientes y la observación de que la disnea puede estar ausente o ser desproporcionadamente leve en relación con la gravedad de la enfermedad.

Algunos autores han sugerido que hay diferentes etapas de Covid-19 grave.
En la fase inicial, la hipoxia puede ser causada principalmente por daño o desregulación de los vasos sanguíneos pulmonares, lo que conduce a una transferencia alterada de oxígeno de los pulmones al torrente sanguíneo. Algunos de estos pacientes se recuperarán durante un período de días a semanas.
Sin embargo, si el paciente continúa deteriorándose, el cuadro clínico puede volverse más típico -síndrome de dificultad respiratoria aguda (SDRA)-, con daño alveolar difuso y edema inflamatorio que requiere intubación y ventilación mecánica.
Reconocer y evaluar la dificultad respiratoria
Los indicadores clínicos de insuficiencia respiratoria incluyen un aumento de la frecuencia respiratoria, disminución de los niveles de oxígeno o aumento de la necesidad de oxígeno suplementario.
Los pacientes también pueden describir opresión en el pecho y / o incapacidad para respirar profundamente, y pueden verse y / o sentirse cada vez más ansiosos. Estos síntomas, junto con la angustia psicológica y el miedo, exacerban la disnea al aumentar aún más la frecuencia respiratoria y justifican una revisión clínica inmediata.
Los niveles de oxígeno se evalúan mediante saturación de oxígeno periférico (SpO2) y / o presión parcial de oxígeno arterial (PaO2). El rango normal para SpO2 es del 94-98%, aunque se ha recomendado a los médicos que se mantengan en 92-96% durante la pandemia para ayudar a la preservar los suministros de oxígeno del hospital.
Los ensayos clínicos han demostrado que estos rangos objetivos de oxígeno más bajos son seguros: son lo suficientemente altos como para aliviar la disnea y mantener la oxigenación de los tejidos, evitando los efectos potencialmente dañinos de la hiperoxia y conservando los suministros de oxígeno del hospital. El rango normal para PaO 2 es 12,6-14 kPa.
Como se señaló anteriormente, la disnea puede no ser tan frecuente o grave como se espera para un nivel dado de hipoxia en Covid-19. Por lo tanto, se requiere una vigilancia adicional, ya que la disminución de la SpO2 y un mayor requerimiento de oxígeno pueden ser los únicos marcadores de deterioro que indican la necesidad de intensificar el tratamiento.
Manejo de la insuficiencia respiratoria
Los principios del manejo de la insuficiencia respiratoria son mantener niveles adecuados de oxígeno, evitar la hipercapnia, tratar la causa subyacente siempre que sea posible (como antibióticos para la neumonía bacteriana) y reducir el riesgo de posibles complicaciones (por ejemplo, profilaxis del tromboembolismo venoso), mientras se optimiza la hidratación, nutrición y comodidad del paciente (recuadro 1).
Las consideraciones de manejo adicionales en la pandemia de Covid-19 incluyen un enfoque mejorado en la prevención y el control de infecciones, la asignación adecuada de la sala dentro del hospital en función de la gravedad de la enfermedad y los requisitos de control, decisiones rápidas con respecto a los límites máximos de atención y el reclutamiento para ensayos de investigación.

Recuadro 1. Enfoque para evaluar y manejar la insuficiencia respiratoria
- Historia centrada y examen junto con el inicio de oxígeno suplementario si es necesario para lograr la saturación de oxígeno periférico objetivo (SpO2).
- Comience el tratamiento para la causa subyacente si es posible.
- Escale el oxígeno suplementario según sea necesario para mantener la SpO2 objetivo y considere el análisis de gases en sangre arterial o capilar para diferenciar la insuficiencia respiratoria tipo 1 de la tipo 2.
- Si es necesario, comience el soporte respiratorio no invasivo (presión positiva continua en las vías respiratorias (CPAP) o ventilación no invasiva (NIV)).
Caso clínico (continuación)
Aumenta el suministro de oxígeno suplementario a su paciente mediante la aplicación de una máscara facial que suministra 8 l/min de oxígeno. Su SpO2 mejora al 96% y la frecuencia respiratoria cae a 18 respiraciones/min.
Más tarde ese día, su enfermera le advierte que su frecuencia respiratoria ha aumentado a 26 respiraciones/min, está utilizando músculos accesorios y su SpO2 es del 90% a pesar de cambiar a una máscara de depósito que suministra 15 l/min de oxígeno. Se inicia presión positiva continua en las vías respiratorias (CPAP) y se informa al equipo de cuidados intensivos.
Insuficiencia respiratoria tipo 1 (T1RF)
El objetivo del tratamiento en T1RF es mejorar la oxigenación a través de dos intervenciones principales.
1. Aumento de la fracción de oxígeno inspirado (FiO2): la elección del dispositivo de administración está determinada por el requerimiento de oxígeno y la comodidad del paciente: los pacientes deben recibir la FiO2 más baja requerida para mantener la SpO2 objetivo.
2. Aplicar presión positiva al final de la espiración (PEEP) a la vía aérea durante la espiración puede mejorar aún más la oxigenación al abrir los alvéolos y las vías aéreas más pequeñas que de otro modo podrían cerrarse durante la espiración en una infección respiratoria. Esto reduce el flujo de sangre desoxigenada a través de áreas de pulmón mal ventilado (shunt intrapulmonar) y aumenta efectivamente el área de superficie disponible para el intercambio de gases. PEEP puede indicarse junto con el aumento de FiO2 cuando no se ha logrado la oxigenación objetivo.
El medio más efectivo para lograr PEEP en pacientes no intubados es con presión positiva continua en las vías respiratorias (CPAP), que es diferente de la ventilación no invasiva (VNI). CPAP implica usar una máscara ajustada a través de la cual se aplica aire a presión. Se usa más comúnmente para asegurar la vía aérea superior en la apnea obstructiva del sueño; en la T1RF, abren las vías aéreas inferiores para aumentar el intercambio de gases.
El soporte respiratorio progresará desde los dispositivos más simples y mejor tolerados que usan la menor cantidad de oxígeno para alcanzar la SpO2 objetivo, con la secuencia cánula nasal, máscara de oxígeno, hasta CPAP u oxígeno nasal de alto flujo. Se puede usar una máscara de venturi en lugar de una cánula nasal o una máscara de oxígeno en pacientes susceptibles a T2RF para administrar una FiO 2 precisa.
CPAP se recomienda cada vez más en el tratamiento de Covid-19, con rangos de presión sugeridos de 8-14 cm H2O, aunque existen contraindicaciones para CPAP (recuadro 2).
Otra forma de mejorar la oxigenación que se ha recomendado para los pacientes con covid-19 es "pronación despierta".
La pronación es una terapia establecida para la T1RF refractaria en pacientes intubados que mejora la oxigenación al minimizar el desajuste de ventilación / perfusión en el pulmón. La pronación ha sido ampliamente utilizada en pacientes despiertos con Covid-19, aunque hay pruebas de alta calidad con respecto a su eficacia en pacientes despiertos.
Recuadro 2. Contraindicaciones para la presión positiva continua en las vías respiratorias (CPAP)
- Paciente agitado o no cooperativo.
- Nivel de consciencia reducido con incapacidad para proteger las vías respiratorias.
- Quemaduras faciales o traumatismos.
- Vómitos persistentes.
- Estado cardiorrespiratorio inestable o paro respiratorio.
- Secreciones respiratorias copiosas.
- Neumotórax no drenado.
Para algunos pacientes, se puede usar CPAP (con o sin pronación) como medida de espera mientras se espera la intubación. El equipo de cuidados intensivos debe participar en esta situación.
El oxígeno nasal de alto flujo es una alternativa teórica al CPAP, que combina un aumento de FiO2 con hasta 5 cm H2O de PEEP, pero se ha desaconsejado su uso en el tratamiento de Covid-19 debido a la falta de eficacia, alto consumo de oxígeno y riesgo de propagación viral. En algunos pacientes, la CPAP es suficiente para el soporte respiratorio y evitar los riesgos de ventilación invasiva.
Insuficiencia respiratoria tipo 2 (T2RF)
En T2RF la hipoventilación alveolar conduce a hipercapnia con hipoxia asociada. El objetivo es reducir el dióxido de carbono mientras se mantiene una oxigenación aceptable, con un objetivo de SpO2 de 88-92%. El dióxido de carbono se reduce aumentando el volumen minuto, el producto de la frecuencia respiratoria y el volumen corriente (VM=FRxVC). Esto se logra mediante:
1. Aumento de la frecuencia respiratoria: esto es difícil de lograr en un paciente despierto y enfermo que ya es taquipneico. Más allá de cierto nivel, los aumentos adicionales en la frecuencia respiratoria no eliminan más dióxido de carbono, ya que la respiración se vuelve ineficiente debido a la ventilación de las vías respiratorias en el "espacio muerto" donde no se produce el intercambio de gases.
2. Aumentar el volumen de aire movido con cada respiración (volumen corriente): esto reduce los niveles de dióxido de carbono alveolar. Como el dióxido de carbono se difunde fácilmente a partir de los capilares pulmonares en el espacio alveolar, el nivel de CO2 en sangre está estrechamente afectado por los cambios en la ventilación alveolar.
Esta es la base para la ventilación no invasiva (VNI), que proporciona una presión positiva en la vía aérea que varía durante el ciclo de respiración, proporcionando una presión de la vía aérea espiratoria basal o final elevada (PEEP o EPAP) y separadamente una presión inspiratoria elevada (IPAP) cuando el paciente comienza a respirar.
Los ajustes de presión varían según la condición subyacente del paciente. Por ejemplo, se necesitará alta presión en la EPOC (como IPAP 20 cm H2O; EPAP 4 cm H2O) y obesidad (como IPAP 20 cm H2O; EPAP 8 cm H2O) a causa de la resistencia de la vía aérea y la pobre compliance de la pared torácica, respectivamente.
Sin embargo, en la enfermedad neuromuscular, la compliance del sistema respiratorio suele ser normal, por lo que se requieren presiones más bajas (como IPAP 12 / EPAP 4 cm H2O). El aumento de PEEP/EPAP para mejorar la oxigenación debe coincidir con un aumento igual en IPAP para mantener el mismo volumen efectivo y el control de dióxido de carbono.
T2RF es poco común en covid-19. Sin embargo, los pacientes vulnerables a la hipoventilación, incluidos aquellos con EPOC u obesidad, así como los pacientes con enfermedad grave o fatiga, pueden tener un mayor riesgo de desarrollar T2RF. Para los pacientes con T2RF debido a Covid-19 grave o fatiga, la VNI solo debe usarse como un puente hacia la intubación urgente o como el techo de la atención.
Otras Consideraciones
Cuando se usa CPAP o VNI en Covid-19, una máscara no ventilada con un filtro bacteriano o viral entre el paciente y el puerto espiratorio puede reducir la contaminación ambiental.
Si bien está más allá del alcance de este artículo discutir las anomalías hematológicas asociadas con Covid-19, existe evidencia de que induce un estado protrombótico que aumenta el riesgo de tromboembolismo venoso. Por lo tanto, los médicos deben tener un alto índice de sospecha de embolia pulmonar que empeoraría la insuficiencia respiratoria.
Techo de atención, intubación y ventilación invasiva
El límite máximo o techo de atención es el nivel máximo de atención que es apropiado para un paciente dado, considerando factores como sus deseos (o los de sus representantes), las comorbilidades subyacentes y la fragilidad.
La mejor práctica es que las personas, sus familiares y su médico general o equipo de atención debatan y acuerden conjuntamente un límite máximo de atención antes de que el paciente se sienta muy mal o no pueda expresar sus deseos. Todos los pacientes con Covid-19 en el hospital y muchos de los miembros de la comunidad deben tener un límite de atención establecido lo antes posible.
La intubación y la ventilación invasiva están indicadas cuando un paciente adecuado para soporte completo se deteriora a pesar de las medidas anteriores.
Para los pacientes en los que la ventilación invasiva se ha considerado inapropiada, CPAP o VNI podrían usarse como el techo de la atención. Antes de comenzar, se debe determinar el límite máximo de atención.
La perspectiva del paciente
El paciente con Covid-19 grave mejoró con CPAP, evitando la ventilación invasiva.
Durante la recuperación, proporcionó comentarios perspicaces. El tratamiento anterior con cánula nasal y luego máscara de reservorio había sido tolerable ya que podía comunicarse, comer y beber. En contraste, CPAP fue "claustrofóbico" y "sofocante". Tenía miedo de vomitar y no poder quitarse la máscara, mientras que "la simple comunicación con el personal se convirtió en una misión" que lo hizo enojar. Una mejor explicación de la razón detrás del tratamiento habría ayudado a su tolerancia.
La educación en práctica
¿Cuál es la diferencia entre T1RF y T2RF y cómo influye esto en las decisiones relacionadas con el soporte respiratorio?
¿Conoce la diferencia entre CPAP, EPAP, PEEP e IPAP?
¿Se sentiría cómodo explicando CPAP o VNI a un paciente o familiar?
fuete: BMJ 2020; 369: m2446 Respiratory failure and non-invasive respiratory support during the covid-19 pandemic: an update for re-deployed hospital doctors and primary care physicians
