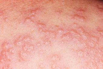
Es una enfermedad sistémica de etiología desconocida caracterizada por la aparición de placas o nódulos
dolorosos producidos por un infiltrado dérmico neutrofílico, fiebre y
leucocitosis periférica. Puede presentarse a cualquier
edad y es más frecuente en mujeres. Su causa es
desconocida suele asociarse a procesos microbianos y cancerígenos, infecciones gastrointestinales o del tracto
respiratorio superior, enfermedad inflamatoria intestinal y a administración de
fármacos como Furosemida, minociclina, y trimetroprin-sulfametoxazol. Su inicio es brusco con placas o
nódulos dolorosos con un infiltrado dérmico de predominio neutrofílico sin
vasculitis y fiebre. Las lesiones pápulares
son lisas y miden de 2 a 4 mm que confluyen para formar placas irregulares.
Crecen rápidamente curándose en el centro produciendo una descamación en
“collarete”. Suelen ser dolorosas y afectan prioritariamente a las extremidades
superiores. Curan en 6-8 semanas sin dejar secuelas. Las recurrencias son más
frecuentes en pacientes que presentan la enfermedad de manera secundaria a neoplasias,
también se ha asociado a infiltrados pulmonares intersticiales bilaterales,
encefalitis, conjuntivitis o hipoacusia neurosensorial idiopática bilateral. El tratamiento de
elección es la prednisona a dosis de 0,5-1mg/kg de peso al día. Suele
responder con rapidez aunque el 25% de los casos puede recidivar. Como terapia
ahorradora de corticoides se utiliza la colchicina, el yoduro
potásico y la ciclosporina.Revista Salud y Bienestar
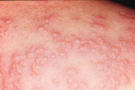
Es una enfermedad sistémica de etiología desconocida caracterizada por la aparición de placas o nódulos
dolorosos producidos por un infiltrado dérmico neutrofílico, fiebre y
leucocitosis periférica. Puede presentarse a cualquier
edad y es más frecuente en mujeres. Su causa es
desconocida suele asociarse a procesos microbianos y cancerígenos, infecciones gastrointestinales o del tracto
respiratorio superior, enfermedad inflamatoria intestinal y a administración de
fármacos como Furosemida, minociclina, y trimetroprin-sulfametoxazol. Su inicio es brusco con placas o
nódulos dolorosos con un infiltrado dérmico de predominio neutrofílico sin
vasculitis y fiebre. Las lesiones pápulares
son lisas y miden de 2 a 4 mm que confluyen para formar placas irregulares.
Crecen rápidamente curándose en el centro produciendo una descamación en
“collarete”. Suelen ser dolorosas y afectan prioritariamente a las extremidades
superiores. Curan en 6-8 semanas sin dejar secuelas. Las recurrencias son más
frecuentes en pacientes que presentan la enfermedad de manera secundaria a neoplasias,
también se ha asociado a infiltrados pulmonares intersticiales bilaterales,
encefalitis, conjuntivitis o hipoacusia neurosensorial idiopática bilateral. El tratamiento de
elección es la prednisona a dosis de 0,5-1mg/kg de peso al día. Suele
responder con rapidez aunque el 25% de los casos puede recidivar. Como terapia
ahorradora de corticoides se utiliza la colchicina, el yoduro
potásico y la ciclosporina.