La mayoría de las mujeres han experimentado alguna vez en su vida un episodio de mucha picazón vaginal. Gran cantidad de medicamentos serán adecuados para tratar este molesto problema si se trata de una pequeña infección, pero si no es así, ningún antimicótico en dosis extremas podrá dar alivio.

Una causa común de picazón genital no micótica es la esclerosis de liquen. Esta condición no se trata de una infección o una enfermedad de transmisión sexual (ETS), sino de una inflamación en la piel que causa una picazón tan severa que algunas mujeres literalmente rascarán hasta sangrar.
Mientras que la esclerosis de liquen afecta generalmente a mujeres post menopáusicas, existen casos en todos los grupos de edades, incluyendo la adolescencia. Usualmente ocurre en la piel cercana al clítoris, y sus síntomas pueden ser tan severos que dificulte y hasta impida el acto sexual.
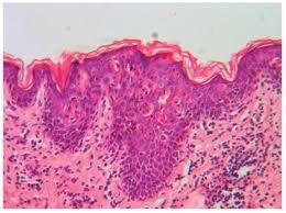
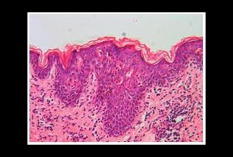
Se puede hacer un análisis clínico para sospechar de que exista esta enfermedad, pero la única manera de asegurarse que así sea es realizando una biopsia de la piel, ya que se puede confundir con otros trastornos.
No se sabe muy bien porqué ni cómo las mujeres desarrollan la esclerosis de liquen. Parece existir algún tipo de predisposición genética, y en muchos casos, se encuentra asociada a problemas del sistema inmunológico y enfermedades de la tiroides.
El tratamiento que mejor parece funcionar es con medicamentos esteroides en forma de tópico, pero se debe utilizar el esteroide adecuado y de la manera adecuada. Y por lo general se suele indicar la administración de una crema con estrógenos, que contrarreste los efectos colaterales de los esteroides.
