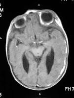
Es la dilatación del sistema ventricular del cerebro debido a un proceso
obstructivo, ya sea infeccioso, inflamatorio, neoplasico o extraventricular que impide el flujo normal
del liquido cefalorraquídeo entre el 3er y 4to ventrículo, o en la fosa
posterior del 4to ventrículo. La ventrículomegalea afecta el 0,5 de cada 1000
nacidos vivos en el mundo y entre las causas que la producen están los defectos del tubo neural como la espina bífida,
el encefalocele, la agenesia del cuerpo calloso y la lisencefalia. Entre las causas inflamatorias están las infecciones por
citomegalovirus o parvovirus. Las Neoplasias
o quistes aracnoideos como el papiloma son los más violentos ya que impide
la circulación del liquido cefalorraquídeo ejerciendo presión sobre el tejido
cerebral con compromiso grave de la corteza cerebral que si no es tratado
lleva a daños irreversibles. Anomalias Congénitas
como las Displasis esqueléticas como la
displasia tanotoforica, acondroplasias y osteogenesis imperfectas, la
holoproncefalia, porencefalia, hidrancefalia y la microcefalea. Las Hemorragias subaracnoideas. Alteraciones metabólicas y las de Origen desconocido que son la mayoría.
El diagnostico se realiza mediante ecosonografia fetal, tomografía craneal o
resonancia cerebral y su tratamiento siempre va a depender de la causa,
generalmente se utilizan analgésicos, esteroides, antibioticoterapia y
procedimientos quirúrgicos específicos.
Revista Salud y Bienestar
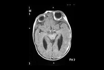
Es la dilatación del sistema ventricular del cerebro debido a un proceso
obstructivo, ya sea infeccioso, inflamatorio, neoplasico o extraventricular que impide el flujo normal
del liquido cefalorraquídeo entre el 3er y 4to ventrículo, o en la fosa
posterior del 4to ventrículo. La ventrículomegalea afecta el 0,5 de cada 1000
nacidos vivos en el mundo y entre las causas que la producen están los defectos del tubo neural como la espina bífida,
el encefalocele, la agenesia del cuerpo calloso y la lisencefalia. Entre las causas inflamatorias están las infecciones por
citomegalovirus o parvovirus. Las Neoplasias
o quistes aracnoideos como el papiloma son los más violentos ya que impide
la circulación del liquido cefalorraquídeo ejerciendo presión sobre el tejido
cerebral con compromiso grave de la corteza cerebral que si no es tratado
lleva a daños irreversibles. Anomalias Congénitas
como las Displasis esqueléticas como la
displasia tanotoforica, acondroplasias y osteogenesis imperfectas, la
holoproncefalia, porencefalia, hidrancefalia y la microcefalea. Las Hemorragias subaracnoideas. Alteraciones metabólicas y las de Origen desconocido que son la mayoría.
El diagnostico se realiza mediante ecosonografia fetal, tomografía craneal o
resonancia cerebral y su tratamiento siempre va a depender de la causa,
generalmente se utilizan analgésicos, esteroides, antibioticoterapia y
procedimientos quirúrgicos específicos.

publicado el 19 febrero a las 22:18
quiero tener conocimiento hacerca de la enfermedad del VON HIPPEL LINDAU.