La linfangioleiomiomatosis es una enfermedad pulmonar, perteneciente a la categoría de enfermedades intersticiales. Bajo esta denominación se agrupan procesos de distinto origen, en los que se afectan las paredes de los alvéolos y el tejido perialveolar. No son enfermedades malignas y no están causadas por agentes infecciosos definidos.
El comienzo es insidioso, no agudo, y las enfermedades suelen ser crónicas. La respuesta inicial es la inflamación de los espacios aéreos y de las paredes alveolares, que originarían una forma aguda de alveolitis intraluminal y mural (es decir, se afectarían tanto la luz como las paredes de los alvéolos).
Si la enfermedad es crónica, la inflamación se extiende al intersticio y vasos adyacentes, y produce fibrosis intersticial.
Causas de la linfangioleiomiomatosis
El origen de esta enfermedad no es bien conocido. Existe una proliferación de músculo liso en vasos linfáticos, bronquiolos y vasos pulmonares.
Afecta más frecuentemente a mujeres en edad fértil; el hecho de que la enfermedad empeore durante el embarazo, posparto y después de tratamiento con estrógenos parece indicar que existe una asociación entre este trastorno y la secreción de estrógenos (hormonas sexuales femeninas).Las células musculares lisas inmaduras pueden proliferar en el tejido pulmonar alrededor de las estructuras bronquiales, vasculares y linfáticas y en su interior, provocando obstrucción local y creando lesiones constrictivas, que se transforman en quistes . También se pueden afectar vasos y ganglios linfáticos de otros órganos.
Síntomas de la linfangioleiomiomatosis
Las manifestaciones clínicas más frecuentes son:
- Tos.
- Disnea.
- Hemoptisis, debida a la obstrucción de los vasos pulmonares.
- Neumotórax, por la formación de quistes pulmonares.
- Derrame quiloso, debido a la obstrucción de los vasos linfáticos.
En las radiografías de tórax aparecen imágenes reticulonodulares (áreas que asemejan redes que se cruzan y zonas de aspecto nodular) y pequeńas áreas quísticas o patrón difuso en panal de abeja en los campos pulmonares.
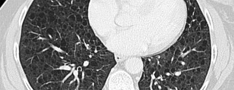
En la TAC se observan imágenes de quistes de paredes delgadas con infiltrados reticulonodulares.
Diagnóstico y tratamiento
La clínica y los hallazgos radiológicos pueden ayudar a realizar el diagnóstico, pero éste se establece de forma definitiva con la biopsia transbronquial o pulmonar abierta.
El tratamiento es el acetato de medroxiprogesterona, vía intramuscular durante un ańo. Si no aparece mejoría en este intervalo de tiempo, se recomienda la intervención quirúrgica denominada ovariectomía bilateral (extirpación de ambos ovarios).
Es necesario el tratamiento de las complicaciones que puedan aparecer, como el neumotórax y el derrame quiloso. Se realizaría pleurodesis química o quirúrgica.
En las fases avanzadas, el trasplante pulmonar es otra alternativa.
La evolución es hacia un cuadro de insuficiencia respiratoria en diez ańos.
¿Cómo puedo evitarla?
Al tratarse de una enfermedad de origen desconocido, no es posible realizar ninguna medida que prevenga su aparición.
Al inicio de los síntomas respiratorios, como tos, disnea o hemoptisis, el médico ha de hacer el diagnóstico diferencial con otros procesos pulmonares con similares manifestaciones.
Si usted presenta episodios de hemoptisis (expectoración de sangre roja en cantidad variable con los accesos de tos) o síntomas de neumotórax (dolor torácico de inicio brusco que aumenta con la inspiración profunda y que se acompańa de sensación de falta de aire), debe acudir a su médico.
