PACIENTE MASCULINO DE 56 AÑOS DE EDAD.
QUIEN NIEGA ANTECEDENTES PERSONALES CRÓNICOS DEGENERATIVOS NI INFECTOCONTAGIOSOS.
PADECIMIENTO ACTUAL, UN MES CON EPIGASTRALGIA CON IRRADIACIÓN EN HEMICINTURÓN HACIA LA ESPALDA DE CARACTERÍSTICAS PULSÁTIL CON UNA INTENSIDAD 8/ 10 EL CUAL ES CONSTANTE SIN ATENUANTES NI EXACERBANTES. A LA EXPLORACIÓN FÍSICA SE APRECIA MASA DE GRAN TAMAÑO A NIVEL DE EPIGASTRIO LA CUAL NO ES MÓVIL.
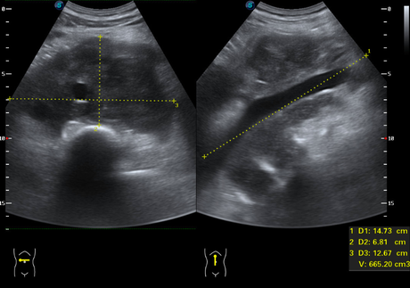
POR MEDIO PARTICULAR SE SOLICITA USG ABDOMINAL COMO ABORDAJE INICIAL. MOSTRANDO MASA RETROPERITONEAL DE GRAN TAMAÑO DE HASTA 14.7 CM, HIPOECOICA RESPECTO A LA GRASA ABDOMINAL, DE BORDES DEFINIDOS, QUE ENVUELVE LOS VASOS ABDOMINALES SIN COMPRIMIRLOS, QUE A LA EXPLORACIÓN CON DOPPLER COLOR QUE NO MUESTRA VASCULARIDAD.


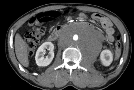
EN EL SERVICIO DE URGENCIAS SE SOLICITA ESTUDIO TOMOGRÁFICO CONTRASTADO ENCONTRANDO; MASA DE HASTA 14 CM A NIVEL RETROPERITONEAL LA CUAL ES ISODENSA A LOS MÚSCULOS PSOAS, CON ESCASA DIFERENCIACIÓN CON ELLOS. DICHA MASA PRESENTA BORDES LOBULADOS QUE SE EXTIENDE HASTA EL HILIO RENAL IZQUIERDO DESPLAZANDO EL ÓRGANO HACIA LATERAL, ENVOLVIENDO LA AORTA ABDOMINAL, LA VENA CAVA INFERIOR, ARTERIA MESENTÉRICA SUPERIOR Y AMBAS ARTERIAS RENALES SIN DISMINUCIÓN DE SU CALIBRE. TRAS LA ADMINISTRACIÓN DE MEDIO DE CONTRASTE PRESENTA UN REFORZAMIENTO HETEROGÉNEO, DE DISTRIBUCIÓN DIFUSA EN EL RESTO DEL ABDOMEN Y HUECO PELVICO SE OBSERVAN MULTIPLES IMAGENES NODULARES DE LAS MISMAS CARACTERÍSTICAS DE HASTA 1.4 CM.
REALIZAMOS PROCEDIMIENTO INTERVENCIONISTA MEDIANTE BIOPSIA CON TRUCUT PERCUTÁNEA GUIADA POR TOMOGRAFÍA CON AGUJA DE 16 X 10, OBTENIENDO AL MENOS 3 CILINDROS LOS CUALES SE ENVÍAN A PATOLOGÍA.
EL RESULTADO DE ANATOMÍA PATOLÓGICA REPORTA: BIOPSIA DE TUMOR RETROPERITONEAL POSITIVO PARA MALIGNIDAD. SIGNOS COMPATIBLES CON PROCESO LINFOPROLIFERATIVO DE TIPO LINFOMA NO HODGKIN DIFUSO DE CÉLULAS PEQUEÑAS.

RESULTADO DE INMUNOHISTOQUÍMICA:
-LINFOMA NO HODGKIN DE CÉLULAS B.
-SUBTIPO DIFUSO DE CÉLULAS GRANDES EN UN 90% Y FOLICULAR DE ALTO GRADO, GRADO 3B EN UN 10% (CLASIFICACIÓN DE LA OMS 2016 ).
– INMUNOFENOTIPO CD20+ / BCL-2+ / BCL-6+/ CD10+
– ÍNDICE DE PROLIFERACIÓN 60%
COMENTARIO: LINFOMA
ES LA LESIÓN MALIGNA RETROPERITONEAL MÁS FRECUENTE.
LOS LINFOMAS DE HODGKIN TIENEN UNA DISTRIBUCIÓN POR EDADES BIMODAL, ENCONTRÁNDOSE EN PACIENTES EN LA 2ª Y 6ª DÉCADA DE LA VIDA Y SE MANIFIESTA CON ENFERMEDAD LIMITADA, NORMALMENTE AFECTANDO AL MEDIASTINO Y AL BAZO.
EL LINFOMA NO-HODGKIN SE SUELE VER EN UN RANGO DE EDAD DE 40-70 AÑOS Y NORMALMENTE SE MANIFIESTA CON ENFERMEDAD EXTRANODAL AFECTANDO AL HÍGADO, BAZO O INTESTINO, MÁS FRECUENTEMENTE EN ESTADÍOS AVANZADOS.
EN TC MUESTRA: MASA HOMOGÉNEA BIEN DEFINIDA, CON LEVE REALCE HOMOGÉNEO CON CONTRASTE Y QUE SE EXTIENDE ENTRE LAS ESTRUCTURAS NORMALES RETROPERITONEALES SIN COMPRIMIRLAS. LA AORTA Y VCI PUEDEN SER DESPLAZADAS ANTERIORMENTE PRODUCIENDO EL “SIGNO DE LA AORTA FLOTANTE”. LAS CALCIFICACIONES Y NECROSIS NO SON FRECUENTES ANTES DE LA ADMINISTRACIÓN DEL TRATAMIENTO.

MASCULINO DE 56 AÑOS CON MASA EN EPIGASTRIO A QUIEN SE LE REALIZA USG Y TAC CONTRASTADA MOSTRANDO MASA RETROPERITONEAL DE HASTA 14 CM, LA CUAL DESPLAZA LAS ESTRUCTURAS VASCULARES.
SE REALIZA BIOPSIA POR TRUCUT CON REPORTE DE PATOLOGÍA DE LINFOMA NO HODGKIN DE CÉLULAS B.

