
Lóbulo Hepático de Riedel
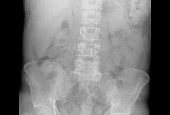
El lóbulo hepático de Riedel es una variante anatómica en la cual hay una prolongación hepática derecha en forma de lengüeta o punta de lanza que abarca el flanco derecho y puede llegar incluso hasta la cresta iliaca. El lóbulo de Riedel puede ser un hallazgo al examen físico y podría confundirse con una hepatomegalia. También aparece descrito en Rx de abdomen como en la imagen del artículo o durante la ecografía abdominal.En pacientes sanos el diagnostico es muy fácil pero cuando hay enfermedad o alteraciones de la función hepática la presencia del lóbulo de hepático de Riedel puede llevar a realizar pruebas innecesarias ante la sospecha de un crecimiento hepático. Lo que habitualmente nos ayuda a diferenciarlo es su forma característica.
No hay problemas de la salud asociados a tener una variante hepática de Riedel a excepción del hecho de tener parénquima hepático por debajo del reborde costal, sin protección, podría favorecer hematomas hepáticos en casos de traumatismos abdominales.
Escribe a [email protected] o@TuDoctorOnline y recibe ayuda gratuita de Tu Doctor Online, Tu Medico en Internet.
Formula para la Dieta del hígado graso o esteatosis hepáticaDieta para el hígado grasoImportancia de niveles de Lipasa.Los Diez Errores al hacer Dieta¿Qué es el Estreñimiento? Medidas para evitarlo.
