
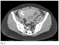
Los abscesos pélvicos son una acumulación circunscrita de pus ysuelen ser en un 90% consecutivos a un divertículo colónico. En el mundo occidental 85 % de los divertículos se localizan en el colon sigmoides, o parte final del intestino grueso antes del recto. Los síntomas suelen ser irregulares, sobre todo en las primeras etapas clínicas. En casi todos los pacientes se observa fiebre recurrente o persistente, que al principio típicamente es intermitente o en espigas y que luego se vuelve más persistente a medida que madura el absceso. Los pacientes que reciben antibioticoterapia pueden no desarrollar mucha fiebre. También puede presentarse íleo paralítico, distensión abdominal, anorexia y en ocasiones vómitos. La antibioticoterapia continua sólo da lugar a un proceso que existe enforma latente durante muchas semanas y dificulta el diagnóstico. En el examen abdominal del absceso pelviano hay pocos síntomas o signos físicos, a menos que el absceso afecte a la pared anterior del abdomen. El paciente se queja de dolor mal localizado y vago en los cuadrantes abdominales inferiores. La irritación de las vías urinarias y del recto produce sensación de urgencia para orinar y polaquiuriao diarrea y tenesmo. Los abscesos generalmente son polimicrobianos. Las acumulaciones de pus localizadas en la pelvis son los abscesos intraabdominales más fáciles de diagnosticar. Por lo general pueden palparse de manera directa mediante el tacto rectal o vaginal. El absceso pélvico típico sobresale como una masa dolorosa hacia la pared rectal anterior. Es importante distinguir entre una masa inflamatoria que afecta a los órganos pélvicos y un verdadero absceso pélvico. La TAC es el estudio radiológico más útil para el diagnóstico de un absceso en lo que se refiere a especificidad, sensibilidad y exactitud. Combinada con la ultrasonografía, permite diagnosticar con precisión más del 90% de los casos. Los problemas que se han informado están relacionadas con la dificultad para distinguir tumores, hematomas, quistes y seromas, los cuales semejan abscesos, aunque con la diferenciación de intensidades y contrastes por medios electrónicos y con la utilización de la resonancia magnética quedan casi perfectamente diferenciados. El tratamiento de inicio de una masa pélvica Abscedada esantibioticoterapiay drenaje, mas biopsia y en caso de ser cancerígeno se extirpa el segmento de colon afectado por el tumor y empalme de los extremos que han quedado separados. La colectomía debe incluir los ganglios linfáticos que recogen el drenaje linfático del segmento de colon afectado para así incluir en la pieza los ganglios afectados si los hubiese. Según el análisis de la pieza extirpada y el número de ganglios afectados se realizará posteriormente tratamiento adyuvante con quimioterapia.
