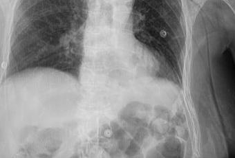
TÓRAX AP
LA PROYECCIÓN RADIOGRÁFICA OBTENIDA MUESTRA LOS SIGUIENTES HALLAZGOS:
Tejidos blandos simétricos, sin cambios en su densidad.
Silueta cardiomediastinica, con engrosamiento.
Botón aórtico, con calcificación.
Tráquea y columna vertebral central.
Hilios pulmonares, sin alteraciones.
Campos pulmonares, con patrón reticular difuso bilateral. Pulmón derecho, hacia lóbulo superior, probablemente en segmento III por topografía se observa imagen en anillo de sello, así como a nivel parahiliar inferior se observa imagen redondeada, irregular, bien definida, que mide 11 × 14 mm. Pulmón derecho, a nivel parahiliar existe imagen redondeada, irregular, bien definida, que mide 8 × 8 mm.
Senos cardio y costo frénicos bien definidos, sin identificar datos de derrame pleural.
A nivel de hombro derecho, con presencia de material de osteosíntesis. Resto de estructuras óseas, sin evidencia de lesiones líticas, blásticas o perdida de la contigüidad. Existen osteofitos marginales.
impresión diagnostica:
EN EL PRESENTE ESTUDIO RADIOGRÁFICO, CON IMÁGENES SUGERENTES DE NEUMOPATÍA CRÓNICA INTERSTICIAL, ASÍ COMO IMÁGENES SUGERENTES DE ADENOPATÍAS PARAHILIAR BILATERALES VS NÓDULOS PULMONARES, SIENDO LA DE MAYOR TAMAÑO DE LADO DERECHO.
MATERIAL DE OSTEOSÍNTESIS A NIVEL DE HOMBRO DERECHO.
ATEROESCLEROSIS Y CAMBIOS OSTEODEGENERATIVOS.
CORRELACIONAR CON DATOS CLÍNICOS Y ANTECEDENTES DE CONSIDERARSE NECESARIO POR MÉDICO TRATANTE, COMPLEMENTAR CON ESTUDIOS ADICIONALES O DE CONTROL, SEGÚN EVOLUCIÓN CLÍNICA DEL PACIENTE.
La entrada NEUMOPATÍA CRÓNICA INTERSTICIAL apareció primero en El Blog de Godie.
