Yo soy uno de los miles de pacientes que cuando eran niños fueron operados de amígdalas. Casi todos los de mi generación pasaron por el mismo trago. Las intervenciones se realizaban a mansalva y sin ningún tipo de consideración personal ni tratamiento para el dolor. Recuerdo como si fuera ahora estar sentado en las piernas de un enfermero fortachón con mis manos atadas a la espalda. Con sus fuertes brazos y piernas sujetaban las mías y mi cabeza. El otorrino me puso un abrebocas (como los de torturas en las películas) y con una jeringa de cristal con una larga aguja me pinchó en cada una de las amígdalas para anestesiarlas un poco. Con lo ojos abiertos por el terror vi como me introducía un instrumento parecido a los que se emplean para coger el helado que se pone en el cucurucho llamado amigdalotomo de Sluder con el que recortaba la amígdala. Fue espantoso. Por fortuna, las cosas han cambiado radicalmente y poco a poco los expertos en otorrinolaringología y en enfermedades infecciosas van realizando recomendaciones respecto a las indicaciones de la amigalectomía. Un comité de expertos acaba de publicar las últimas recomendaciones respecto a la conveniencia o no de extirpar las amígdalas en un niño (Clinical Practice Guideline: Tonsillectomy in Children). Pueden acceder al documento pulsando aquí.
Lo más destacado es que recomiendan operar , fundamentalmente cuando:
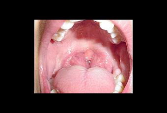
- La frecuencia de los episodios de anginas es de al menos siete episodios en el último año, al menos 5 episodios por año durante 2 años o al menos 3 episodios por año durante 3 años. Estos episodios han de ser anginas “verdaderas”: dolor de garganta, temperatura> 38,3 ° C, adenopatías cervicales (ganglios) y exudado amigdalar (pus) o un test positivo para estreptococo del grupo A beta-hemolítico
- El niño tiene infecciones repetidas con amígdalas hipertróficas que pueden afectar a su sueño, su crecimiento o a su rendimiento escolar. Otra indicación es la hipertrofia amigdalar, sin infecciones, que interfiere el sueño tranquilo (ronquidos, apneas, cambios de posición frecuentes) que se puede demostrar con un estudio del sueño (polisomnografía) si es necesario
