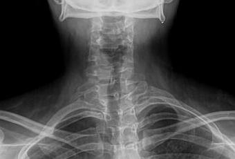
RADIOGRAFIA AP Y LATERAL DE COLUMNA CERVICAL
HALLAZGOS:
-Tejidos blandos, con densidad y morfología respetada, sin evidencia de lesiones.
-Cuerpos vertebrales, con leve angulación hacia derecha. Existe desplazamiento anterior de C3 y C4, menor 25%. Lordosis cervical, rectificada.
-En lo observado de senos paranasales y celdillas mastoideas con adecuada neumatización.
-Estructuras óseas observadas de cráneo sin evidencia de lesiones líticas, blásticas o perdida de la contigüidad.
-Adecuada congruencia de articulaciones de Luschka (uncovertebrales) y de las facetas articulares.
-Cuerpos vertebrales con altura preservada, sin evidencia de lesiones líticas, blásticas o perdida de la contigüidad. Con presencia de algunos osteofitos marginales en C5.
-Plataformas, con adecuada densidad y morfología.
-Pedículos, laminas posteriores sin evidencias de lesiones líticas, blásticas o perdidas de la contigüidad.
-Espacios intervertebrales, con disminución de su amplitud a nivel de C5-C6 y C6-C7.
-Neuro forámenes, con disminución de su amplitud a nivel de C5-C6 y C6-C7.
-Espacio entre apófisis odontoides y C1, menor de 3 mm.
-En topografía de epiglotis se observa trazo horizontal radiopaco que podría corresponder a restos alimenticios óseos.
OPINIÓN RADIOLÓGICA:
EL PRESENTE ESTUDIO RADIOGRAFICO, CON IMAGEN RADIOOPACA NIVEL DE EPIGLOTIS QUE PODRÍAN SUGERIR RESTOS ÓSEOS INGERIDOS.
ASIMETRÍA ESPINAL DEXTROCONVEXA Y RECTIFICACIÓN DE LORDOSIS CERVICAL.
ANTEROLISTESIS DE C3 Y C4, GRADO I DE MAYERDING.
DISCARTROSIS A NIVEL DE C5-C6 Y C6-C7, ASÍ COMO ESTENOSIS DE NEURO FORÁMENES.
CORRELACIONAR CON DATOS E HISTORIA CLINICA DEL PACIENTE.
Cuerpos vertebrales, con leve angulación hacia derecha. Existe desplazamiento anterior de C3 y C4, menor 25%. Lordosis cervical, rectificada
La entrada paciente trago un hueso de pollo apareció primero en El Blog de Godie.
