
La mejor crema dental para la gingivitis y la enfermedad de las encías

¿Las personas con enfermedad de las encías pueden recibir brackets?

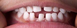
Las espacios entre mis dientes continúan haciéndose más amplios: ¿por qué sucede esto y cómo se puede detener?

Cepillos de dientes interdentales

¿Cuál es el vínculo entre la vitamina D, la periodontitis y la diabetes?

